【ICON】ホワイトスポットを治療した症例【1】 | 気軽に通える審美歯科「みなみもりまち歯科クリニック」気軽に通える審美歯科「みなみもりまち歯科クリニック」
ホーム
審美歯科メニュー
セラミッククラウン
セラミックインレー
ラミネートべニア
ホワイトニング
すきっ歯の治療
矯正治療
部分矯正
ホワイトスポット治療
料金表
医院情報
新着情報
審美歯科メニュー
セラミッククラウン
セラミックインレー
ラミネートべニア
ホワイトニング
すきっ歯の治療
矯正治療
部分矯正
ホワイトスポット治療
料金表
当院の特徴
医院情報
新着情報
セラミッククラウン
セラミックインレー
ラミネートべニア
ホワイトニング
すきっ歯の治療
矯正治療
部分矯正
ホワイトスポット治療
Close
【ICON】ホワイトスポットを治療した症例【1】
ホーム
>
ブログ
>
【ICON】ホワイトスポットを治療した症例【1】
2025年9月22日
【ICON】ホワイトスポットを治療した症例
リスク・副作用
露出した象牙質やセメント質がある場合、痛みを生じることがあります。
経年的に劣化(変色)してくる可能性があります。
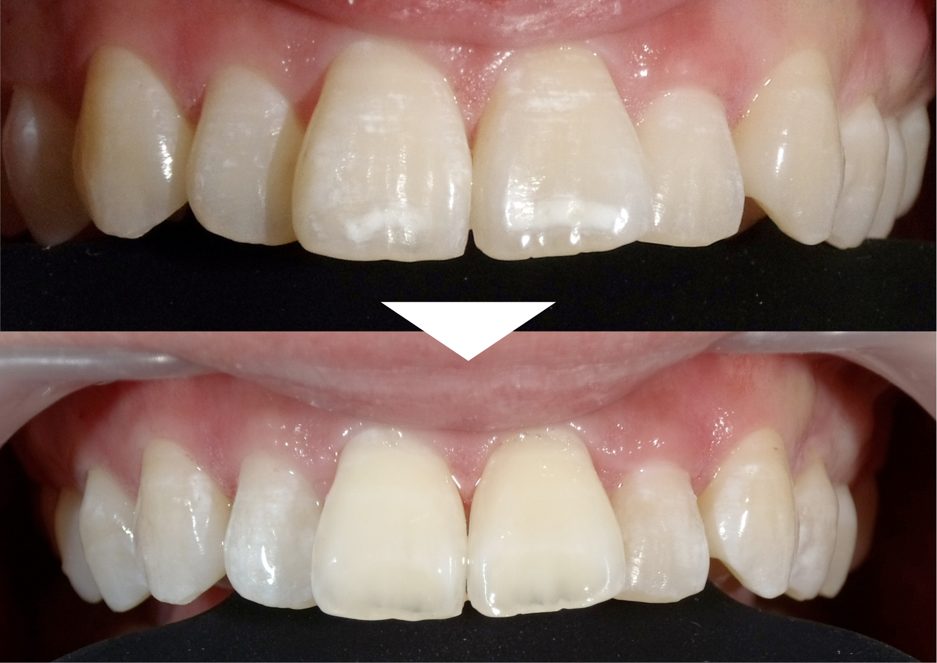
20代女性
治療前
治療後
年齢
20代
性別
女性
主訴
歯の白い斑点が気になる
治療回数
3回
治療内容
ICON2本+ホームホワイトニング
費用
ICON:1歯/55,000円(税込)
ホームホワイトニング:33,000円(税込)
院長コメント
ICON治療を希望し、来院されました。
永久歯が生えた時から白い斑点が気になっていたそうです。
仕上がりは少し窪んだようには見えてしまったのでダイレクトボンディングをお勧めしましたが、本人様が十分満足されたため経過観察としました。
« ダイレクトボンディングですきっ歯を治療した症例【14】
【ダイレクトボンディング】すきっ歯を治療した症例【15】 »
カテゴリー
CATEGORIES
ニュース
審美歯科コラム
症例紹介
ダイレクトボンディング
ホワイトスポット
部分矯正
月別アーカイブ
ARCHIVES
月を選択
2026年5月 (4)
2026年4月 (4)
2026年3月 (5)
2026年2月 (3)
2026年1月 (2)
2025年12月 (3)
2025年11月 (3)
2025年10月 (3)
2025年9月 (3)
2025年7月 (1)
2025年5月 (1)
2025年3月 (1)
2025年2月 (1)
2025年1月 (1)
2024年11月 (1)
2024年9月 (1)
2024年6月 (1)
2024年5月 (1)
2024年3月 (1)
2024年2月 (1)
2024年1月 (1)
2021年4月 (1)
2020年11月 (1)
2019年12月 (1)
2019年10月 (2)
2019年9月 (1)
2019年7月 (1)
2019年3月 (1)
2019年2月 (1)
2018年12月 (1)
2018年11月 (2)
×
ご来院を希望する医院に
お電話ください