【ICON】ホワイトスポットを治療した症例【2】 | 気軽に通える審美歯科「みなみもりまち歯科クリニック」気軽に通える審美歯科「みなみもりまち歯科クリニック」
ホーム
審美歯科メニュー
セラミッククラウン
セラミックインレー
ラミネートべニア
ホワイトニング
すきっ歯の治療
矯正治療
部分矯正
ホワイトスポット治療
料金表
医院情報
新着情報
審美歯科メニュー
セラミッククラウン
セラミックインレー
ラミネートべニア
ホワイトニング
すきっ歯の治療
矯正治療
部分矯正
ホワイトスポット治療
料金表
当院の特徴
医院情報
新着情報
セラミッククラウン
セラミックインレー
ラミネートべニア
ホワイトニング
すきっ歯の治療
矯正治療
部分矯正
ホワイトスポット治療
Close
【ICON】ホワイトスポットを治療した症例【2】
ホーム
>
ブログ
>
【ICON】ホワイトスポットを治療した症例【2】
2025年10月20日
【ICON】ホワイトスポットを治療した症例
リスク・副作用
露出した象牙質やセメント質がある場合、痛みを生じることがあります。
経年的に劣化(変色)してくる可能性があります。
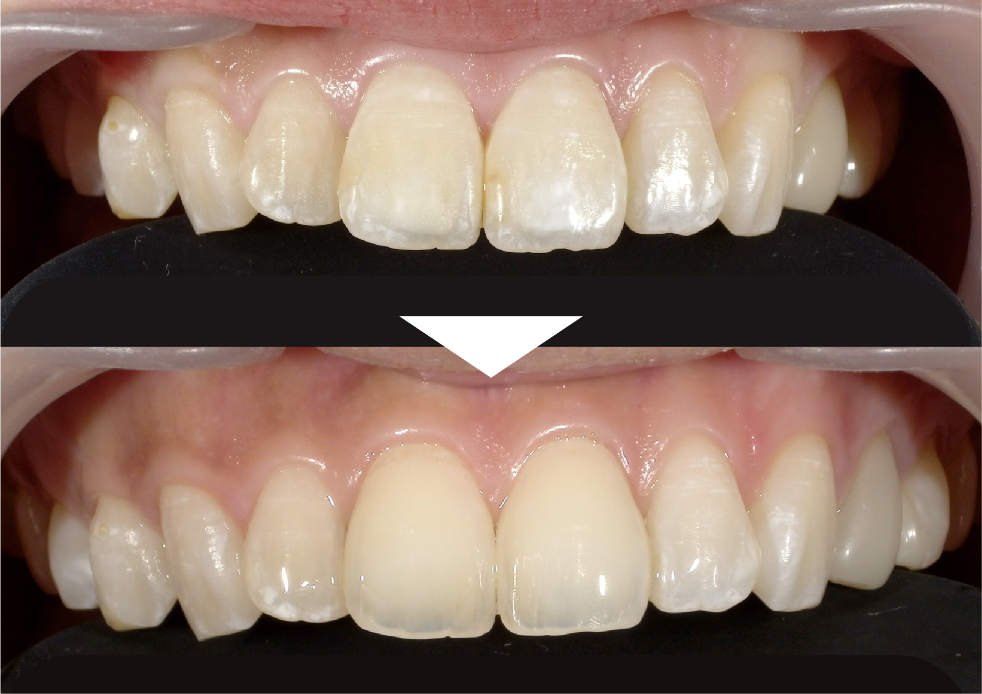
20代女性
治療前
治療後
年齢
20代
性別
女性
主訴
前歯の白濁が昔から気になる
治療回数
3回
治療内容
ICON2本+ホームホワイトニング
費用
ICON:1歯/55,000円(税込)
ホームホワイトニング:33,000円(税込)
院長コメント
昔から前歯の白濁が気になっておられたようです。
他院では、歯を削ってコンポジットレジンを充填して治療するしかないと言われたそうです。
ICON治療後は経過も順調で現在も定期検診にお越しいただいております。
« 【ダイレクトボンディング】すきっ歯を治療した症例【16】
【ダイレクトボンディング】すきっ歯を治療した症例【17】 »
カテゴリー
CATEGORIES
ニュース
審美歯科コラム
症例紹介
ダイレクトボンディング
ホワイトスポット
部分矯正
月別アーカイブ
ARCHIVES
月を選択
2026年5月 (4)
2026年4月 (4)
2026年3月 (5)
2026年2月 (3)
2026年1月 (2)
2025年12月 (3)
2025年11月 (3)
2025年10月 (3)
2025年9月 (3)
2025年7月 (1)
2025年5月 (1)
2025年3月 (1)
2025年2月 (1)
2025年1月 (1)
2024年11月 (1)
2024年9月 (1)
2024年6月 (1)
2024年5月 (1)
2024年3月 (1)
2024年2月 (1)
2024年1月 (1)
2021年4月 (1)
2020年11月 (1)
2019年12月 (1)
2019年10月 (2)
2019年9月 (1)
2019年7月 (1)
2019年3月 (1)
2019年2月 (1)
2018年12月 (1)
2018年11月 (2)
×
ご来院を希望する医院に
お電話ください