【ICON】ホワイトスポットを治療した症例【3】

  • ホーム > 
  • ブログ > 
  • 【ICON】ホワイトスポットを治療した症例【3】

2025年11月11日

【ICON】ホワイトスポットを治療した症例

リスク・副作用

  • 露出した象牙質やセメント質がある場合、痛みを生じることがあります。
  • 経年的に劣化(変色)してくる可能性があります。
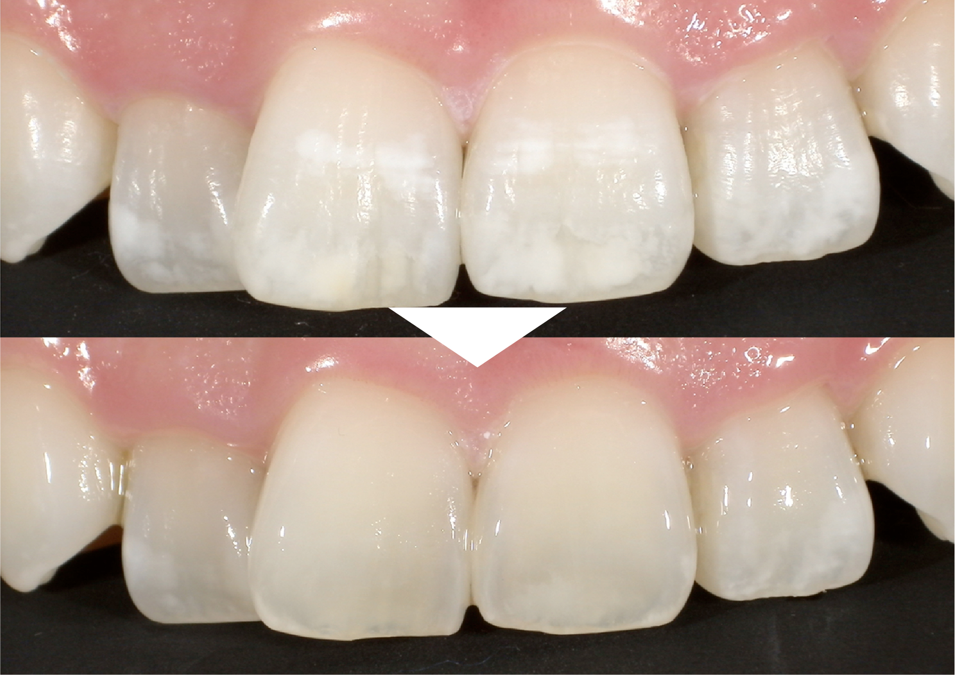
30代女性
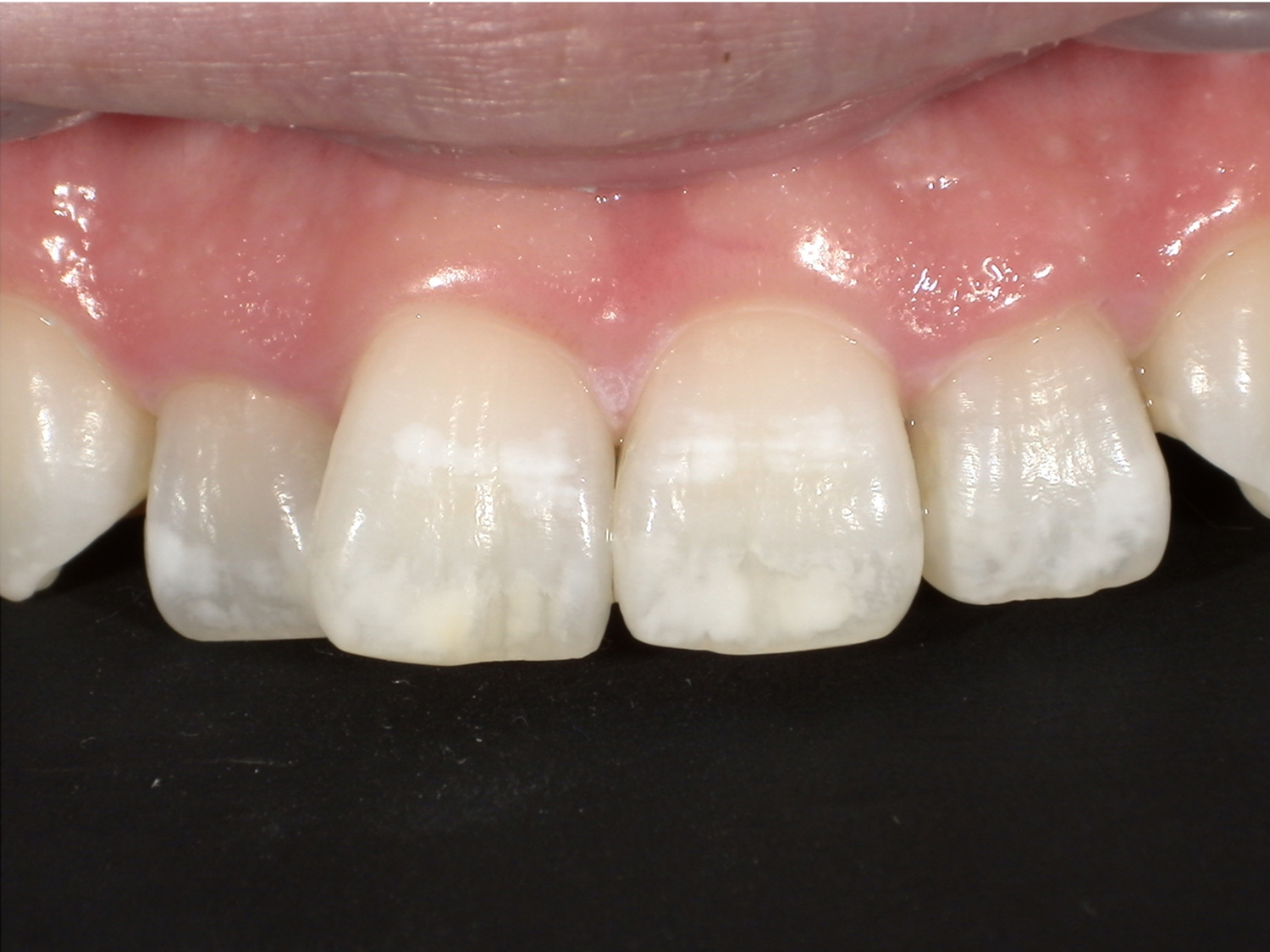
  • 治療前
    ICON_30代女性_治療前
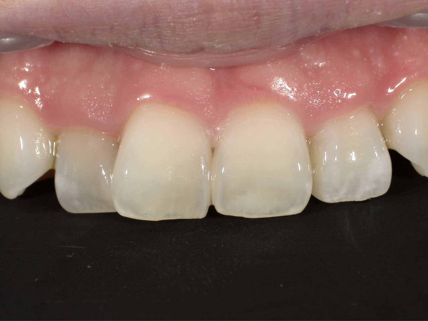
  • 治療後
    ICON_30代女性_治療後
年齢 30代
性別 女性
主訴 歯を白くしたい
治療回数 5回
治療内容 ICON治療4本(オフィスホワイトニング2回+ホームホワイトニング)
費用 ICON:1歯/55,000円(税込)
ホームホワイトニング:33,000円(税込)
院長コメント
当院にホワイトニングを希望されて来院された患者様です。
問診時にホワイトスポットがあることをお伝えたしたところ、ICON治療にご同意いただき施術いたしました。
治療内容はオフィスホワイトニング2回、ホームホワイトニング、2−2のICON治療をいたしました。
本人様も満足され現在も定期検診にお越しいただいております。

カテゴリーCATEGORIES

月別アーカイブARCHIVES