【ICON】ホワイトスポットを治療した症例【6】 | 気軽に通える審美歯科「みなみもりまち歯科クリニック」気軽に通える審美歯科「みなみもりまち歯科クリニック」
ホーム
審美歯科メニュー
セラミッククラウン
セラミックインレー
ラミネートべニア
ホワイトニング
すきっ歯の治療
矯正治療
部分矯正
ホワイトスポット治療
料金表
医院情報
新着情報
審美歯科メニュー
セラミッククラウン
セラミックインレー
ラミネートべニア
ホワイトニング
すきっ歯の治療
矯正治療
部分矯正
ホワイトスポット治療
料金表
当院の特徴
医院情報
新着情報
セラミッククラウン
セラミックインレー
ラミネートべニア
ホワイトニング
すきっ歯の治療
矯正治療
部分矯正
ホワイトスポット治療
Close
【ICON】ホワイトスポットを治療した症例【6】
ホーム
>
ブログ
>
【ICON】ホワイトスポットを治療した症例【6】
2026年3月16日
【ICON】ホワイトスポットを治療した症例
リスク・副作用
露出した象牙質やセメント質がある場合、痛みを生じることがあります。
経年的に劣化(変色)してくる可能性があります。
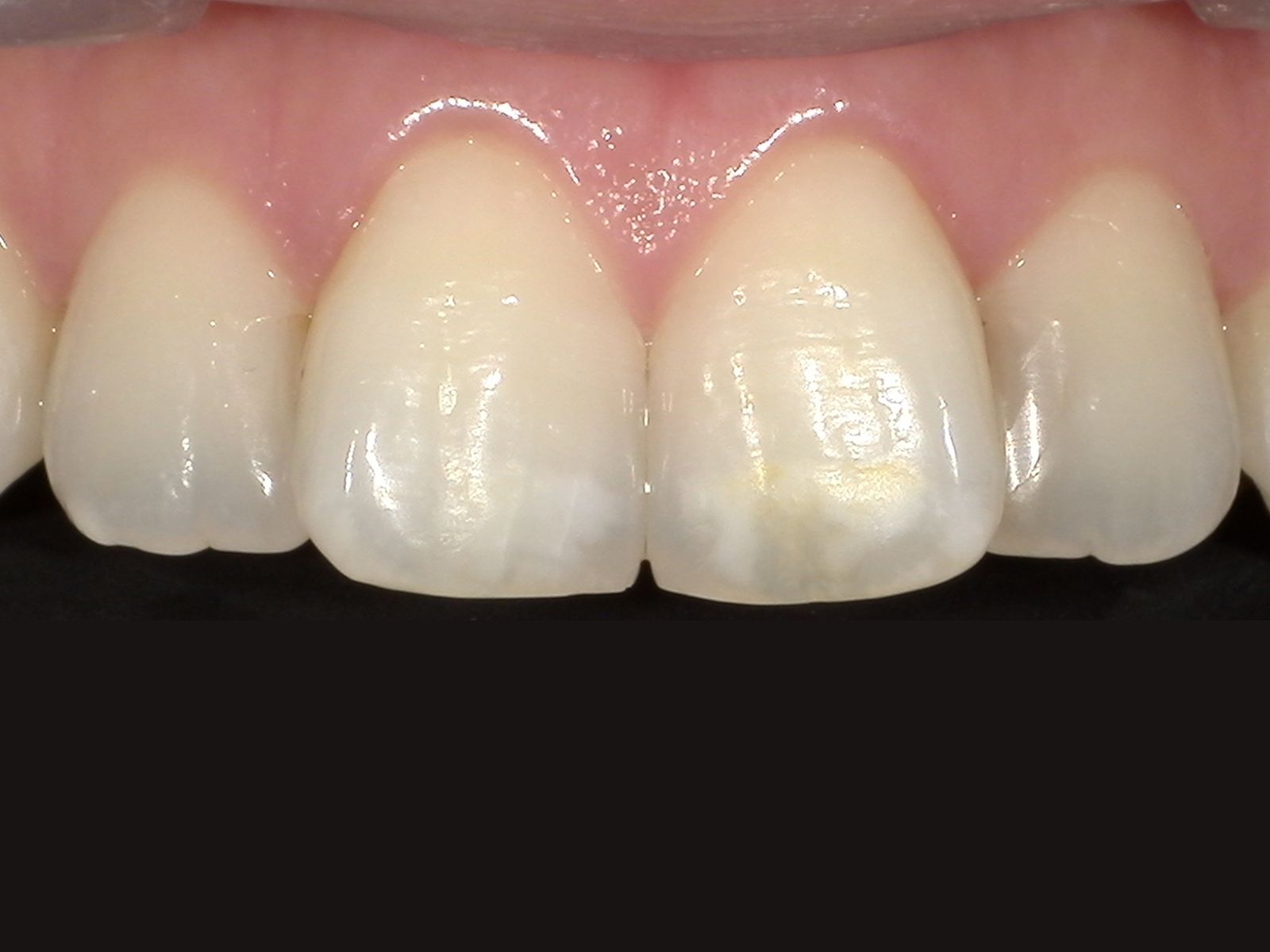
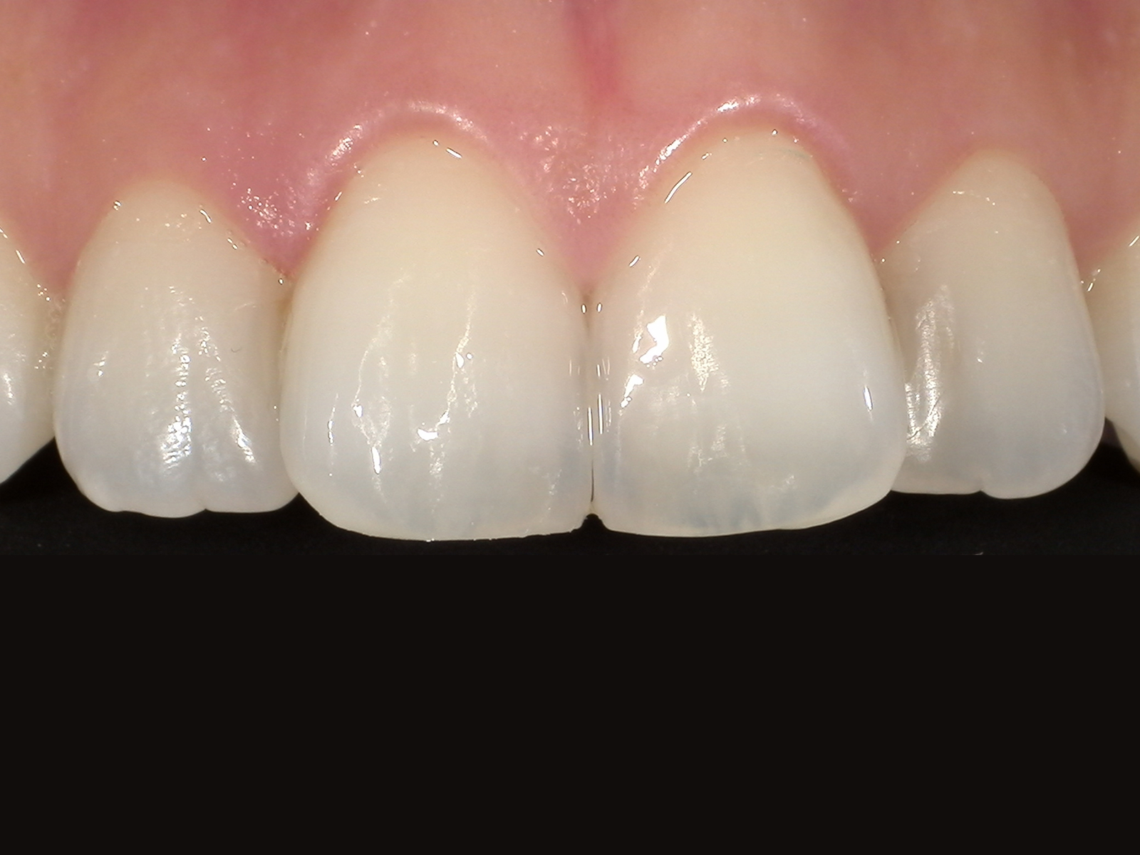
30代女性
治療前
治療後
年齢
30代
性別
女性
主訴
前歯2本のホワイトスポットが気になる
治療回数
3回
治療内容
ICON2本(ホームホワイトニング)
費用
ICON:1歯/55,000円(税込)
ホームホワイトニング:33,000円(税込)
院長コメント
当院のTikTokを見て来院していただいた患者様です。
イエロースポット、ホワイトスポットが混在している歯でしたので、通常より長い期間ホームホワイトニングをしていただきました。
ホワイトニングにてイエロースポットが薄くなった時点でICON治療に移行しました。
本人様は仕上がりに大変満足され、現在も虫歯治療等で通院していただいております。
« 【ダイレクトボンディング】すきっ歯を治療した症例【26】
歯の白い斑点・白濁は何?原因と治し方をわかりやすく解説 »
カテゴリー
CATEGORIES
ニュース
審美歯科コラム
症例紹介
ダイレクトボンディング
ホワイトスポット
部分矯正
月別アーカイブ
ARCHIVES
月を選択
2026年4月 (4)
2026年3月 (5)
2026年2月 (3)
2026年1月 (2)
2025年12月 (3)
2025年11月 (3)
2025年10月 (3)
2025年9月 (3)
2025年7月 (1)
2025年5月 (1)
2025年3月 (1)
2025年2月 (1)
2025年1月 (1)
2024年11月 (1)
2024年9月 (1)
2024年6月 (1)
2024年5月 (1)
2024年3月 (1)
2024年2月 (1)
2024年1月 (1)
2021年4月 (1)
2020年11月 (1)
2019年12月 (1)
2019年10月 (2)
2019年9月 (1)
2019年7月 (1)
2019年3月 (1)
2019年2月 (1)
2018年12月 (1)
2018年11月 (2)
×
ご来院を希望する医院に
お電話ください