【ダイレクトボンディング】すきっ歯を治療した症例【25】
- ホーム >
- ブログ >
- 【ダイレクトボンディング】すきっ歯を治療した症例【25】

2026年2月26日
【ダイレクトボンディング】すきっ歯を治療した症例
リスク・副作用
- 強い衝撃などにより欠けたりすることがあります。
- 経年的に劣化(変色)してくる可能性があります。
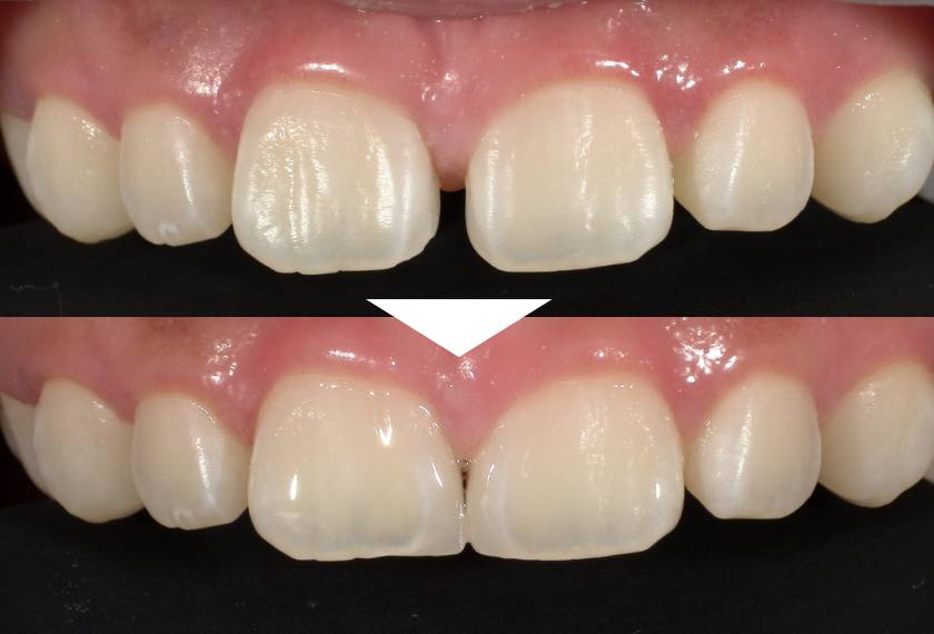
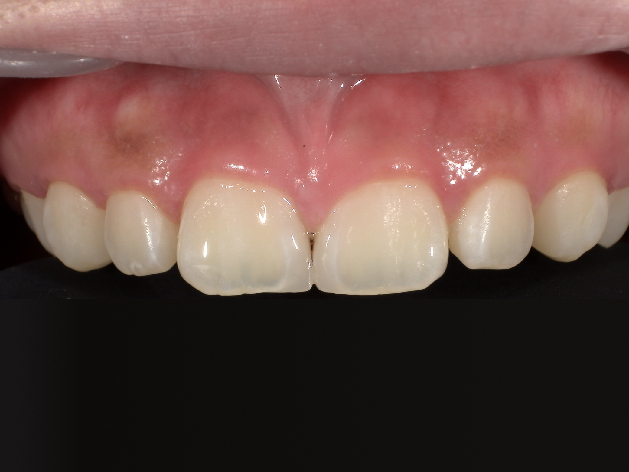
10代女性
- 治療前

- 治療後

| 年齢 |
10代 |
| 性別 |
女性 |
| 主訴 |
上の前歯の隙間が空いているのが気になる |
| 治療回数 |
2回 |
| 治療内容 |
ダイレクトボンディング |
| 費用 |
44,000円(税込) |
| 院長コメント |
歯科衛生士学校の学生さんで、上の前歯が気になるということで来院されました。
矯正治療のお話もさせて頂きましたが、相談の結果ダイレクトボンディングで隙間を埋めることにいたしました。
経過は良好です。 |
カテゴリーCATEGORIES
月別アーカイブARCHIVES