【ダイレクトボンディング】すきっ歯を治療した症例【26】
- ホーム >
- ブログ >
- 【ダイレクトボンディング】すきっ歯を治療した症例【26】

2026年3月9日
【ダイレクトボンディング】すきっ歯を治療した症例
リスク・副作用
- 強い衝撃などにより欠けたりすることがあります。
- 経年的に劣化(変色)してくる可能性があります。
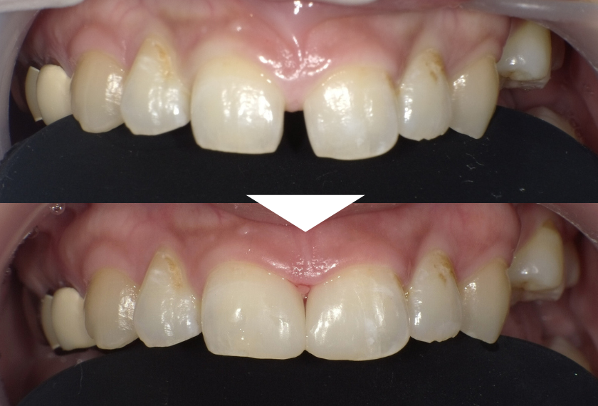
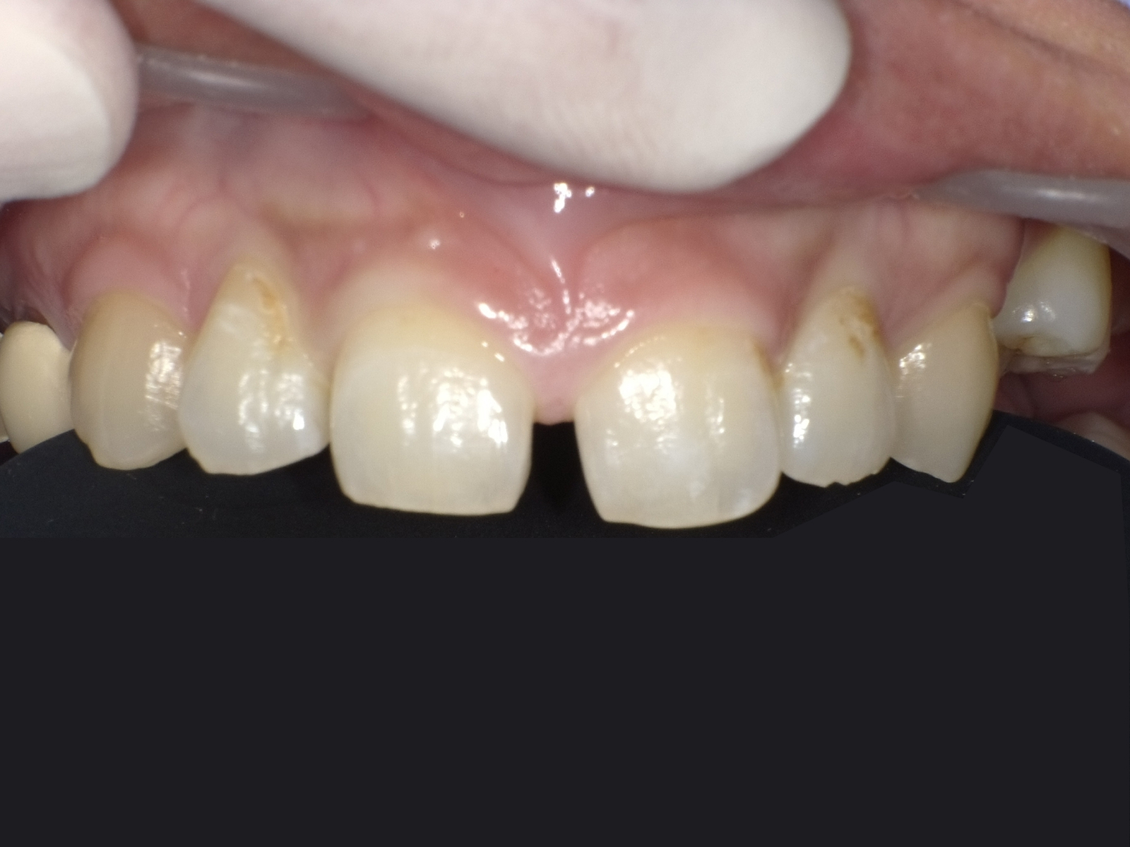
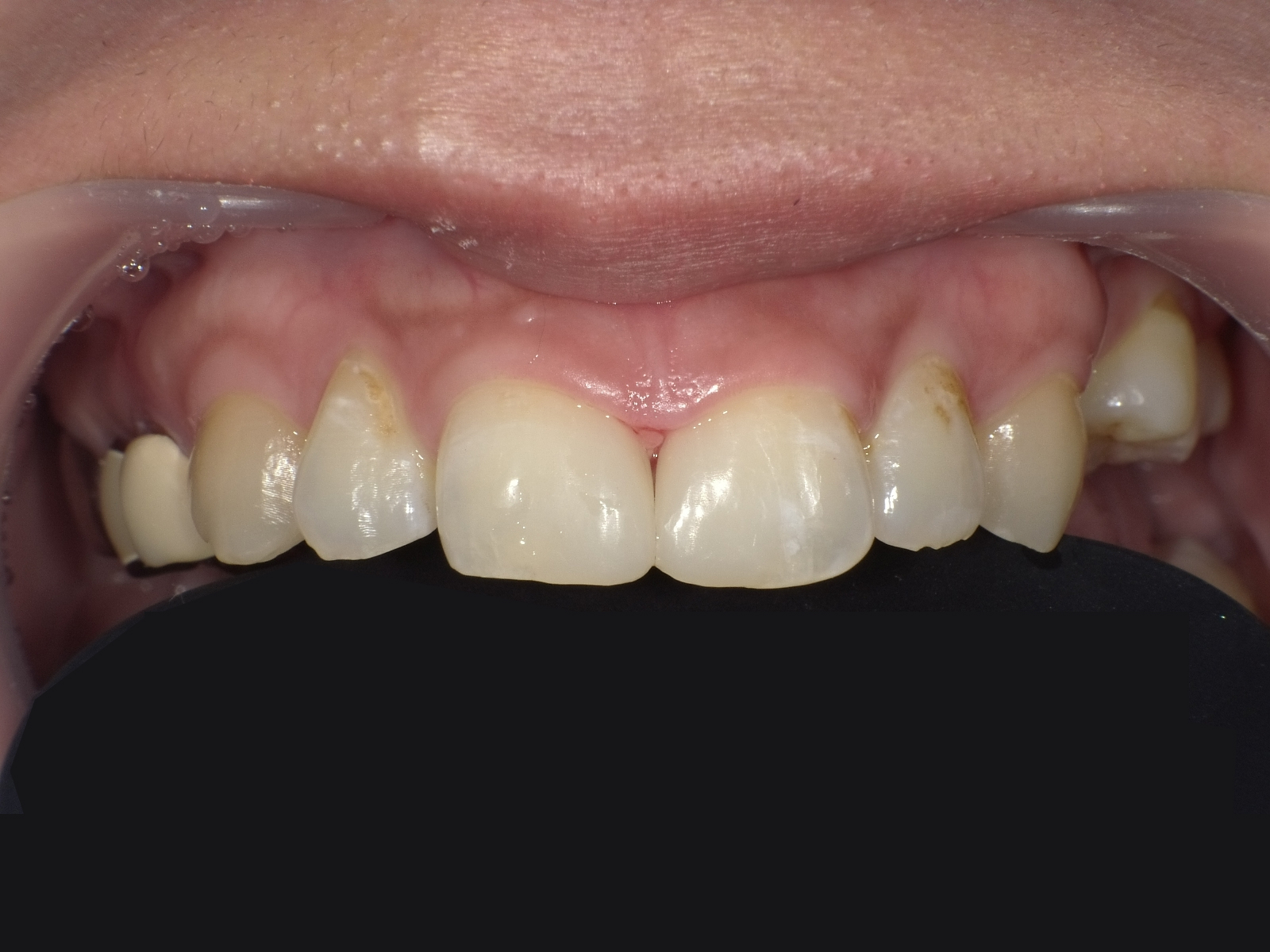
30代女性
- 治療前

- 治療後

| 年齢 |
30代 |
| 性別 |
女性 |
| 主訴 |
ダイレクトボンディングしたい、全体的に空隙がある |
| 治療回数 |
3回 |
| 治療内容 |
ダイレクトボンディング |
| 費用 |
44,000円(税込) |
| 院長コメント |
| ダイレクトボンディングを希望されて来院されました。全体的に歯石が多く付着している患者様でした。そのままダイレクトボンディングをすると出血する可能性があるため、全体の歯石除去後にダイレクトボンディングをいたしました。 |
カテゴリーCATEGORIES
月別アーカイブARCHIVES