【ダイレクトボンディング】すきっ歯を治療した症例【27】
- ホーム >
- ブログ >
- 【ダイレクトボンディング】すきっ歯を治療した症例【27】

2026年3月23日
【ダイレクトボンディング】すきっ歯を治療した症例
リスク・副作用
- 強い衝撃などにより欠けたりすることがあります。
- 経年的に劣化(変色)してくる可能性があります。
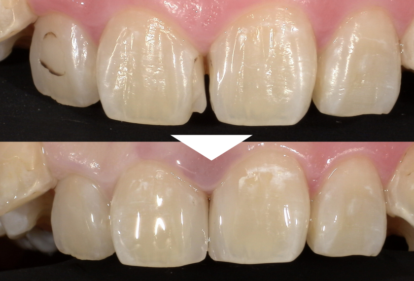
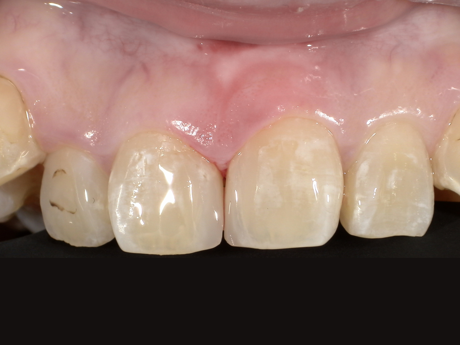
30代女性
- 治療前

- 治療後

| 年齢 |
30代 |
| 性別 |
女性 |
| 主訴 |
他医院でダイレクトボンディングしたところをやり直したい |
| 治療回数 |
2回 |
| 治療内容 |
ダイレクトボンディング |
| 費用 |
44,000円(税込) |
| 院長コメント |
| 他医院でダイレクトボンディングを施術したところをやり直したいとの主訴で来院されました。かなり咬合力が強い方でしたので欠けやすい事をご説明しました。施術後、ナイトガードをご使用いただいております。経過良好です。 |
カテゴリーCATEGORIES
月別アーカイブARCHIVES