【ダイレクトボンディング】すきっ歯を治療した症例【28】
- ホーム >
- ブログ >
- 【ダイレクトボンディング】すきっ歯を治療した症例【28】

2026年4月6日
【ダイレクトボンディング】すきっ歯を治療した症例
リスク・副作用
- 強い衝撃などにより欠けたりすることがあります。
- 経年的に劣化(変色)してくる可能性があります。
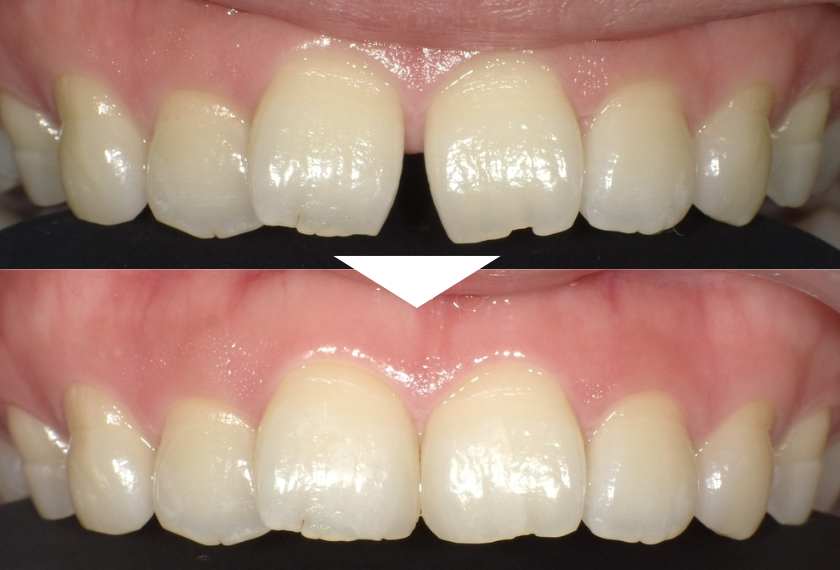
20代女性
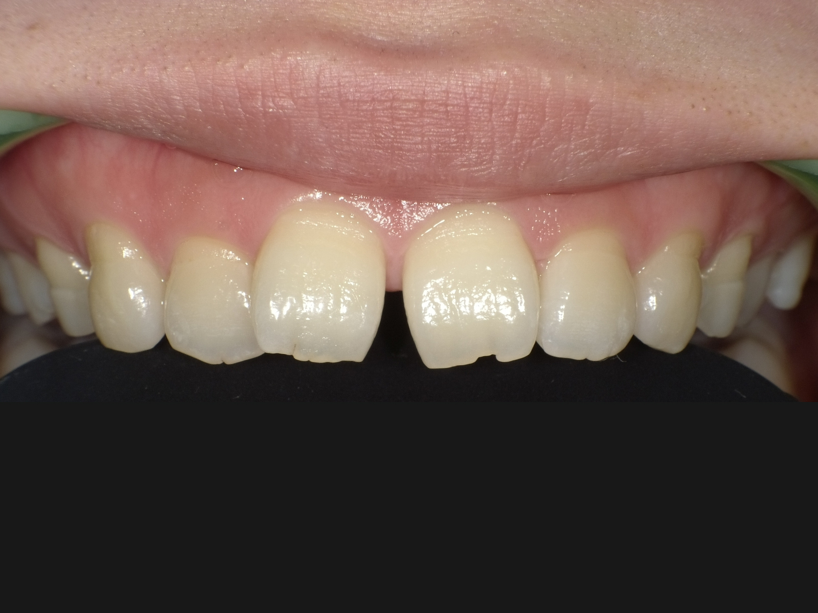
- 治療前

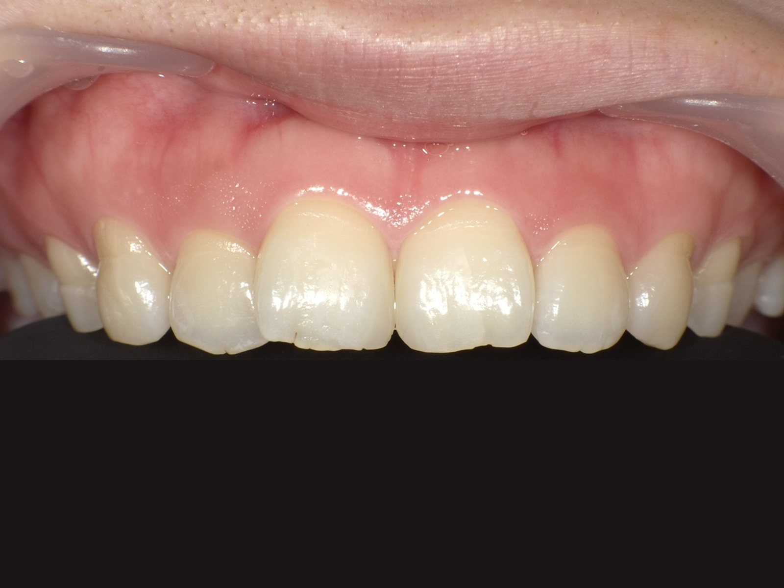
- 治療後

| 年齢 |
20代 |
| 性別 |
女性 |
| 主訴 |
前歯のダイレクトボンディング希望 |
| 治療回数 |
3回 |
| 治療内容 |
ダイレクトボンディング |
| 費用 |
44,000円(税込) |
| 院長コメント |
歯が捻転しているため、矯正治療もお勧めしました。
時間の関係上どうしても早めに治療したいとのことでしたので、ダイレクトボンディングをいたしました。歯軋りをされている方でもあるため、欠けてしまう可能性がある点もご説明いたしました。 |
カテゴリーCATEGORIES
月別アーカイブARCHIVES