【ダイレクトボンディング】すきっ歯を治療した症例【29】
- ホーム >
- ブログ >
- 【ダイレクトボンディング】すきっ歯を治療した症例【29】

2026年4月20日
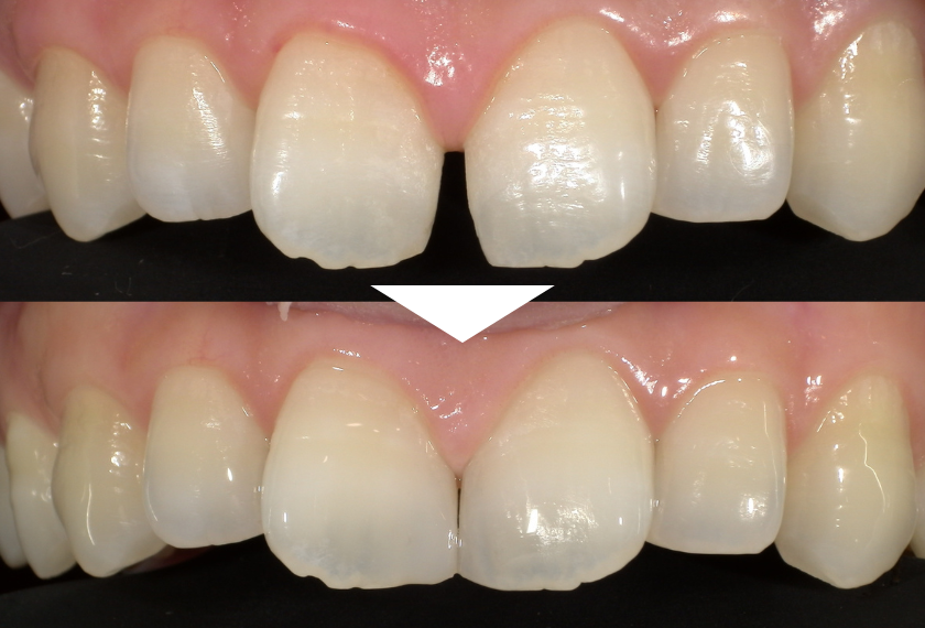
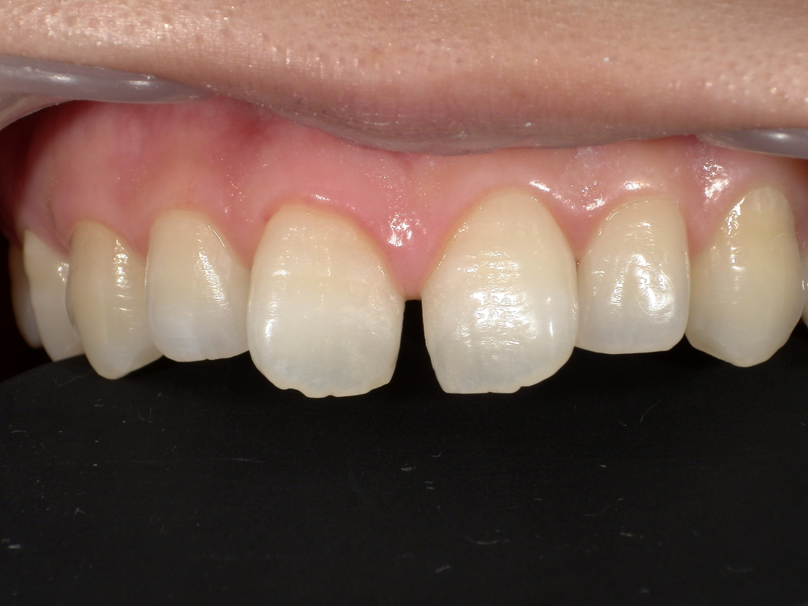
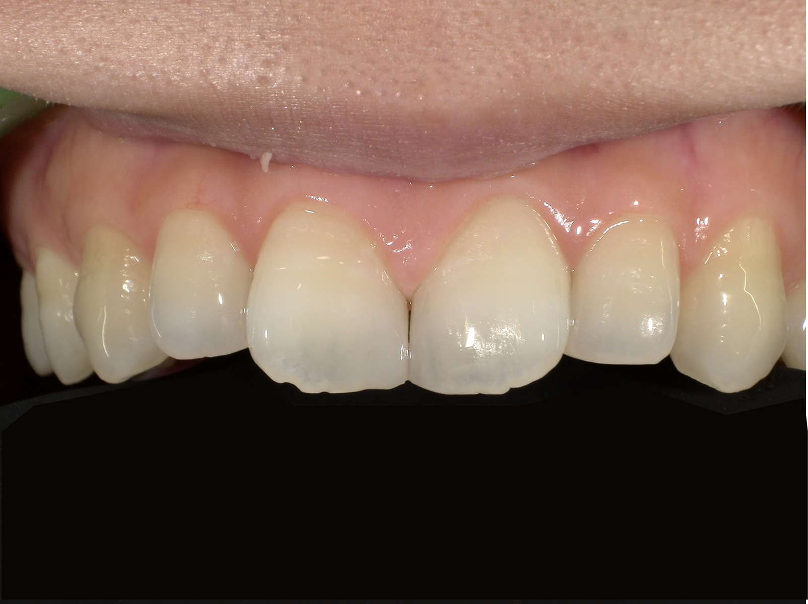
【ダイレクトボンディング】すきっ歯を治療した症例
リスク・副作用
- 強い衝撃などにより欠けたりすることがあります。
- 経年的に劣化(変色)してくる可能性があります。
20代女性
- 治療前

- 治療後

| 年齢 |
20代 |
| 性別 |
女性 |
| 主訴 |
ダイレクトボンディングの相談(審美相談) |
| 治療回数 |
2回 |
| 治療内容 |
ダイレクトボンディング |
| 費用 |
44,000円(税込) |
| 院長コメント |
| 他医院で歯科助手をされてる患者様です。ダイレクトボンディングの相談で来られました。矯正かどうか悩まれた末、今すぐ綺麗になりたいとのご希望でダイレクトボンディングをご選択いただきました。 |
カテゴリーCATEGORIES
月別アーカイブARCHIVES