【ダイレクトボンディング】すきっ歯を治療した症例【20】
- ホーム >
- ブログ >
- 【ダイレクトボンディング】すきっ歯を治療した症例【20】
![]()
2025年12月9日
【ダイレクトボンディング】すきっ歯を治療した症例
リスク・副作用
- 強い衝撃などにより欠けたりすることがあります。
- 経年的に劣化(変色)してくる可能性があります。
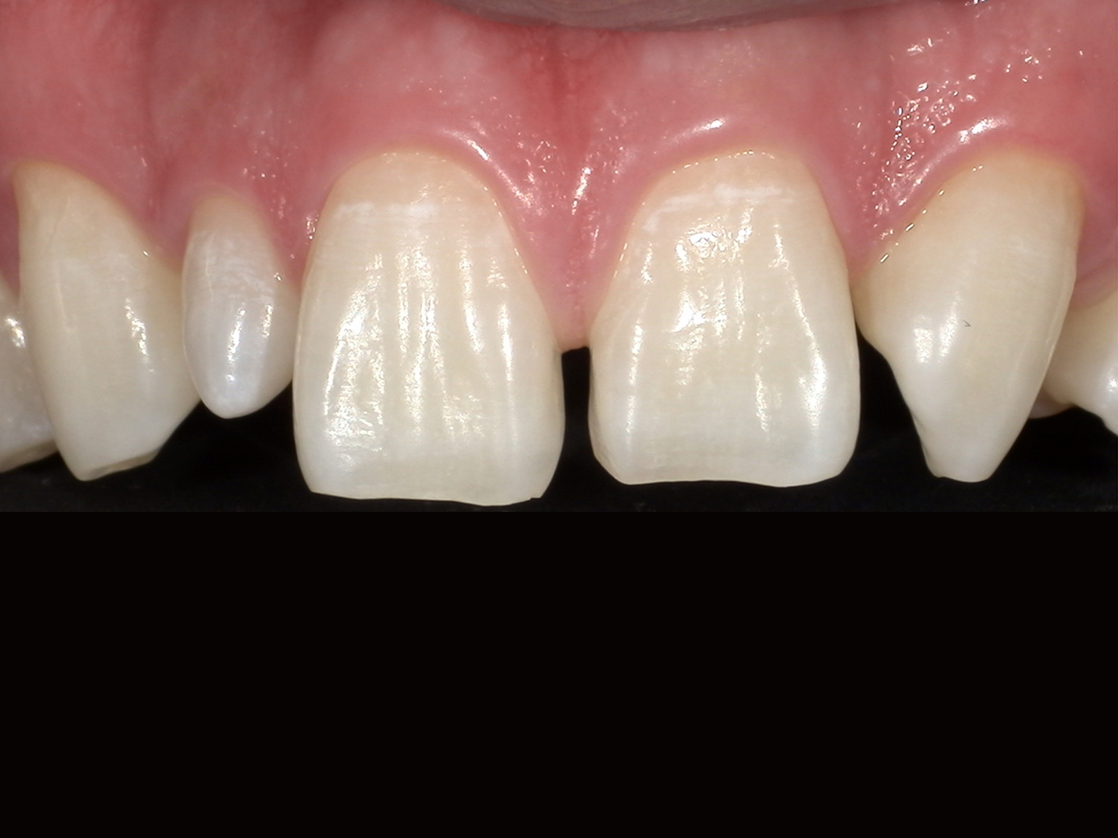
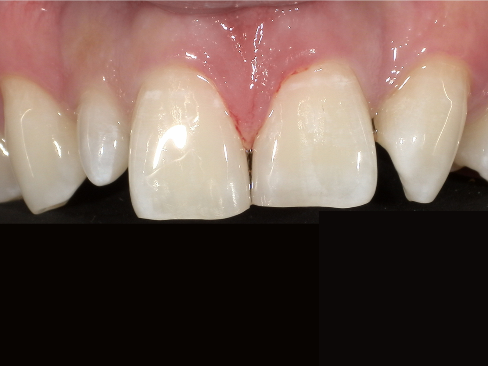
20代男性
- 治療前

- 治療後

| 年齢 |
20代 |
| 性別 |
男性 |
| 主訴 |
前歯部のダイレクトボンディング希望 |
| 治療回数 |
2回 |
| 治療内容 |
ダイレクトボンディング |
| 費用 |
44,000円(税込) |
| 院長コメント |
| 右上2番が矮小歯、左上2番が欠損歯というバランスを取るのが難しい患者様でした。矯正、インプラントなど様々な治療法をご提案させて頂きましたが、最終は中切歯のダイレクトボンディングしたあと他をどうするかを決めていくことに致しました。現在は経過観察中で今後他の部位の治療に関しましては相談中です。 |
カテゴリーCATEGORIES
月別アーカイブARCHIVES