【ダイレクトボンディング】すきっ歯を治療した症例【19】
- ホーム >
- ブログ >
- 【ダイレクトボンディング】すきっ歯を治療した症例【19】
![]()
2025年11月18日
【ダイレクトボンディング】すきっ歯を治療した症例
リスク・副作用
- 強い衝撃などにより欠けたりすることがあります。
- 経年的に劣化(変色)してくる可能性があります。
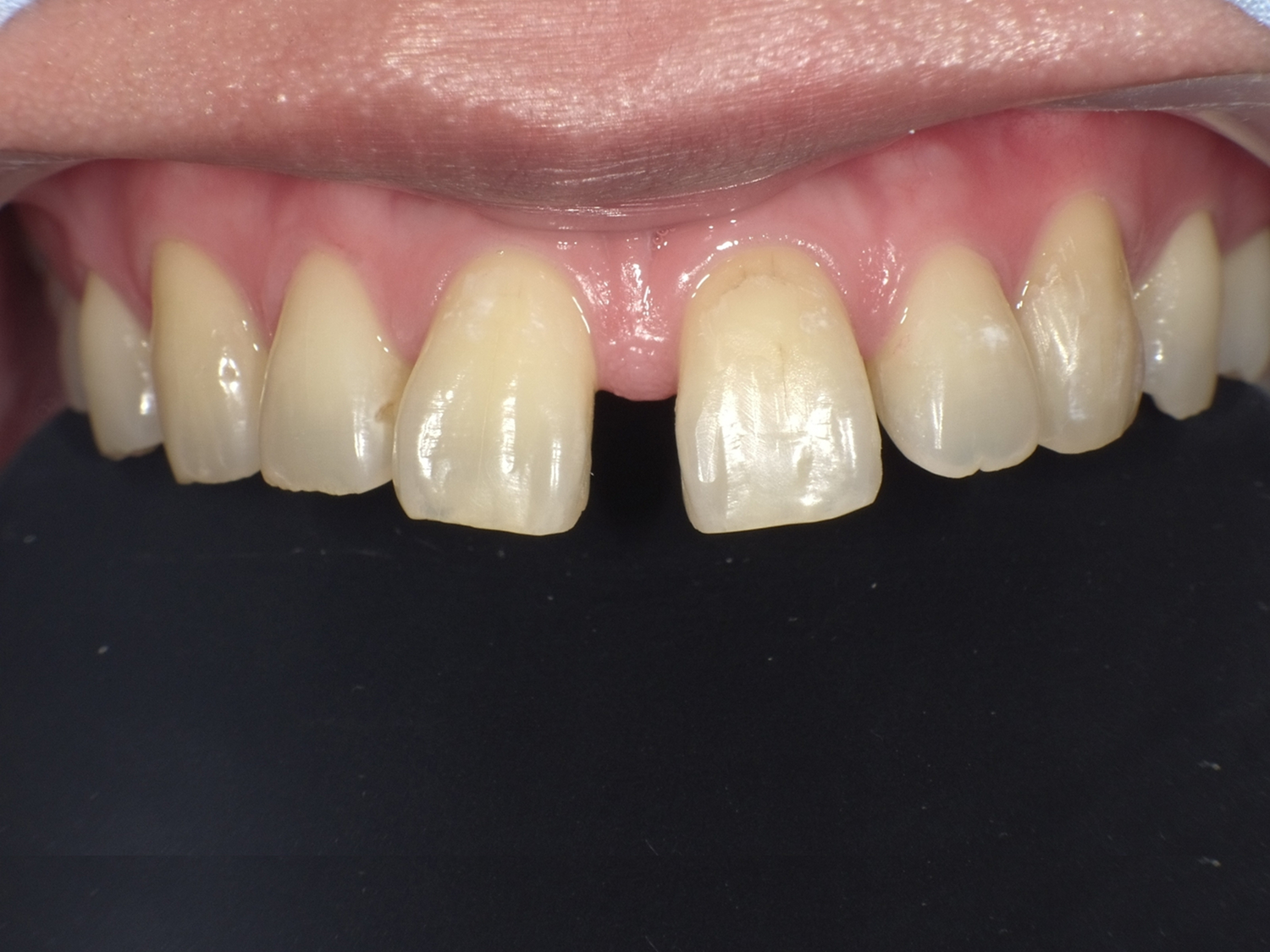
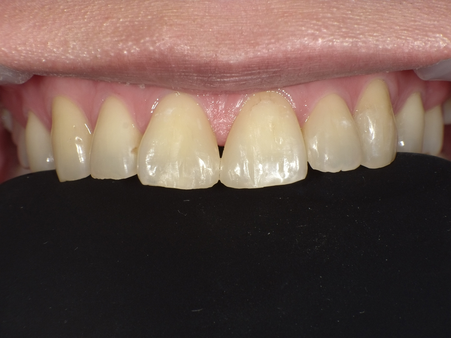
30代女性
- 治療前

- 治療後

| 年齢 |
30代 |
| 性別 |
女性 |
| 主訴 |
前歯の隙間が気になる |
| 治療回数 |
2回 |
| 治療内容 |
ダイレクトボンディング |
| 費用 |
66,000円(税込) |
| 院長コメント |
| 前歯部に隙間が多い患者様でした。最初は7箇所ほどのダイレクトボンディングの予定でしたがご相談の上、3箇所の施術ですることになりました。術後は少し形態修正を加え、納得して頂いたので終診と致しました。 |
カテゴリーCATEGORIES
月別アーカイブARCHIVES