【ダイレクトボンディング】すきっ歯を治療した症例【22】
- ホーム >
- ブログ >
- 【ダイレクトボンディング】すきっ歯を治療した症例【22】

2026年1月5日
【ダイレクトボンディング】すきっ歯を治療した症例
リスク・副作用
- 強い衝撃などにより欠けたりすることがあります。
- 経年的に劣化(変色)してくる可能性があります。
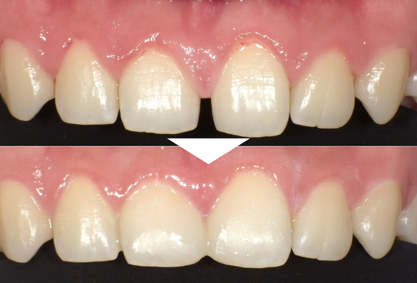
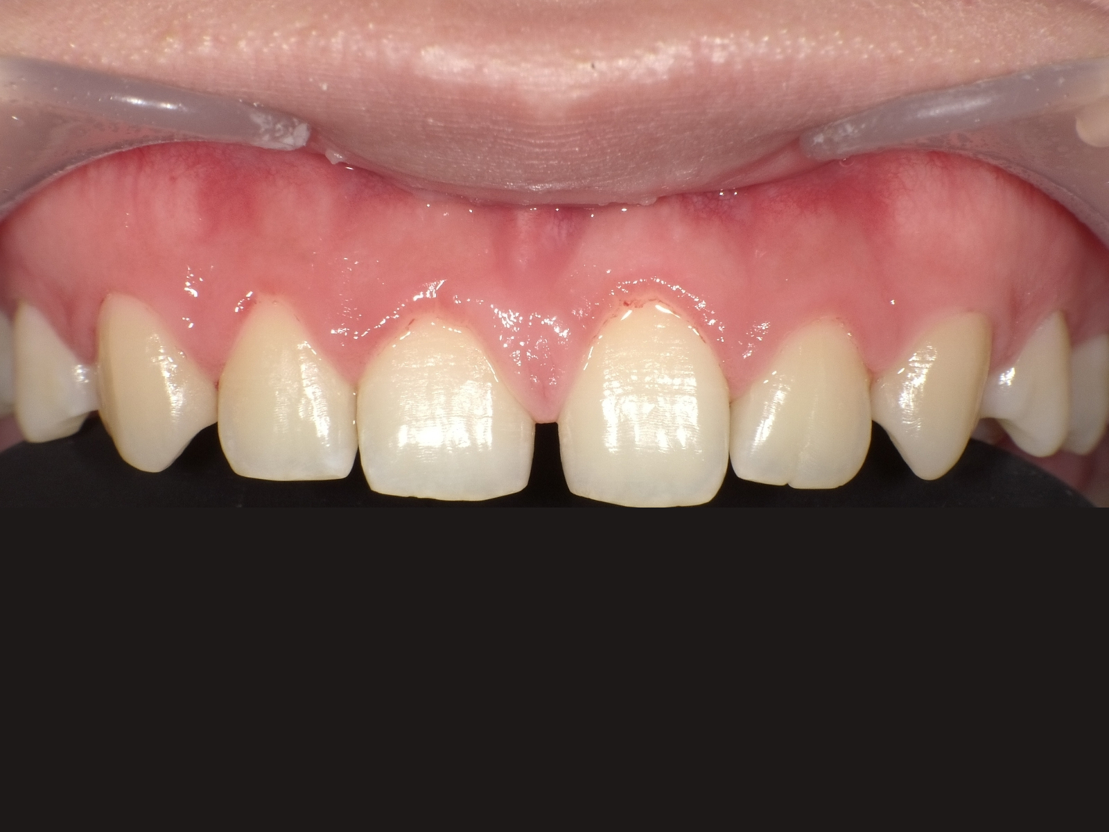
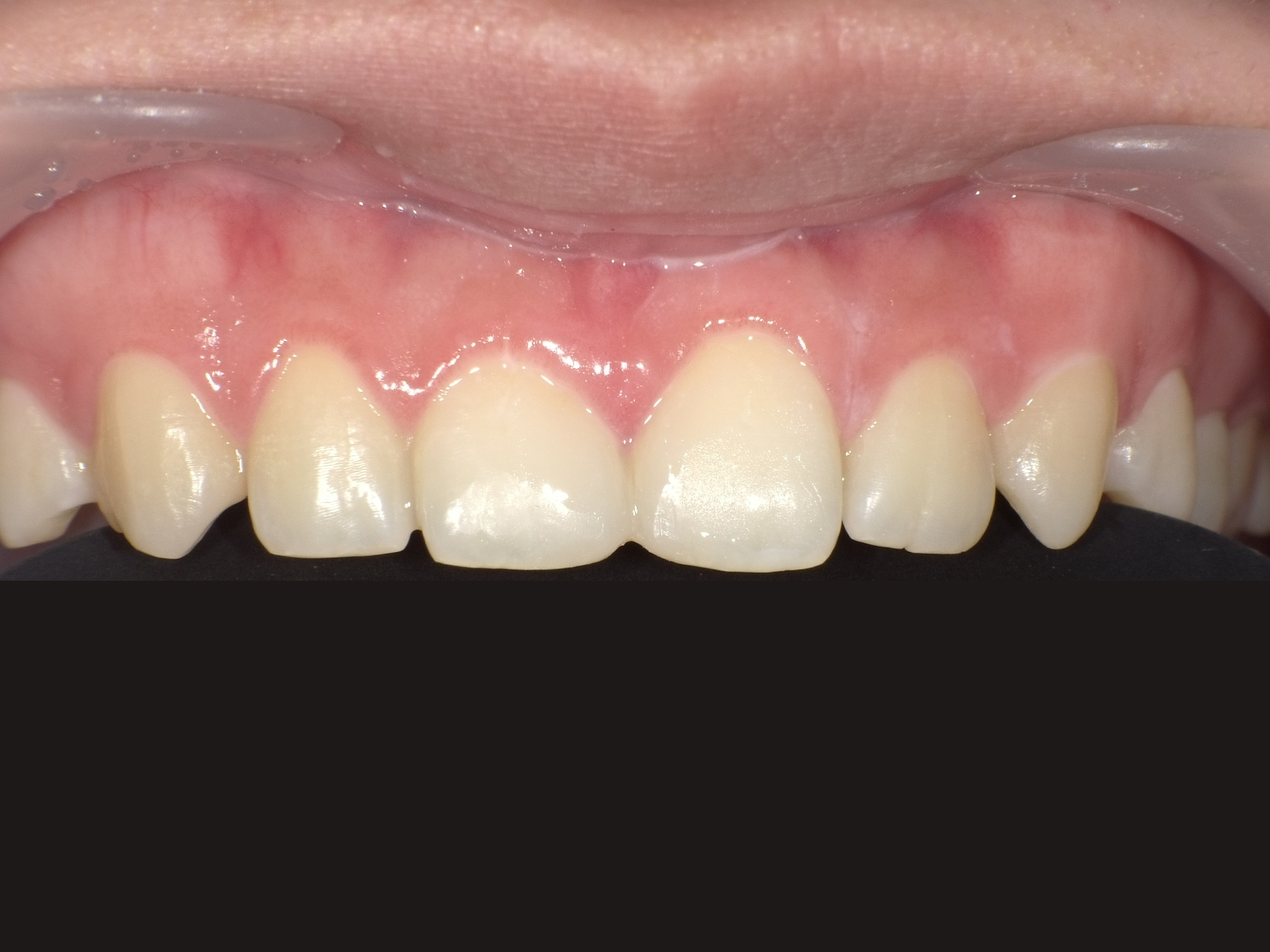
50代女性
- 治療前

- 治療後

| 年齢 |
50代 |
| 性別 |
女性 |
| 主訴 |
前歯のすきっ歯が気になる |
| 治療回数 |
4回 |
| 治療内容 |
ダイレクトボンディング・ホワイトニング |
| 費用 |
44,000円+16,500円(税込) |
| 院長コメント |
| 前歯のすきっ歯が気が主訴で来院されました。歯の色も気になさっていたので、歯石除去・オフィスホワイトニング後にダイレクトボンディングいたしました。 |
カテゴリーCATEGORIES
月別アーカイブARCHIVES