【ダイレクトボンディング】すきっ歯を治療した症例【23】
- ホーム >
- ブログ >
- 【ダイレクトボンディング】すきっ歯を治療した症例【23】

2026年1月19日
【ダイレクトボンディング】すきっ歯を治療した症例
リスク・副作用
- 強い衝撃などにより欠けたりすることがあります。
- 経年的に劣化(変色)してくる可能性があります。
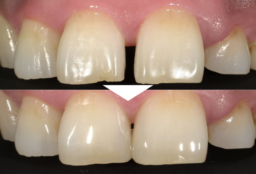
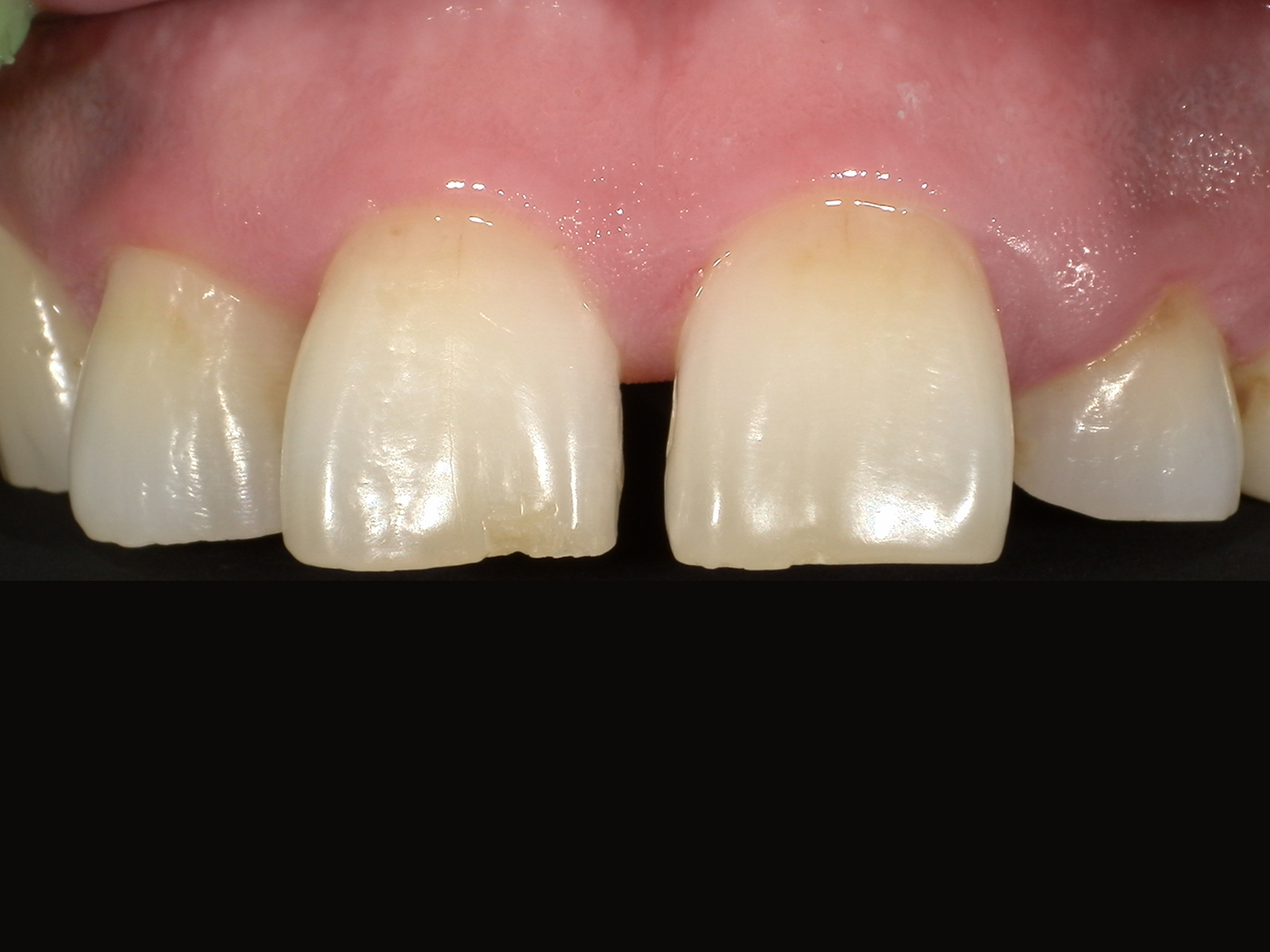
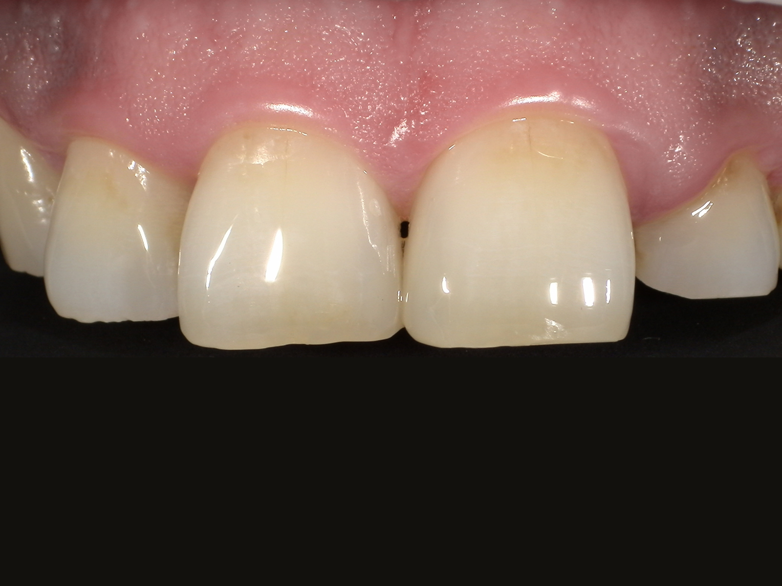
40代男性
- 治療前

- 治療後

| 年齢 |
40代 |
| 性別 |
男性 |
| 主訴 |
前歯のダイレクトボンディング希望 |
| 治療回数 |
3回 |
| 治療内容 |
ダイレクトボンディング |
| 費用 |
44,000円(税込) |
| 院長コメント |
前歯のダイレクトボンディングを希望されて来院されました。 歯石が多くついていたため、スケーリング、SRP後ダイレクトボンディングいたしました。 |
カテゴリーCATEGORIES
月別アーカイブARCHIVES