【ダイレクトボンディング】すきっ歯を治療した症例【24】
- ホーム >
- ブログ >
- 【ダイレクトボンディング】すきっ歯を治療した症例【24】

2026年2月2日
【ダイレクトボンディング】すきっ歯を治療した症例
リスク・副作用
- 強い衝撃などにより欠けたりすることがあります。
- 経年的に劣化(変色)してくる可能性があります。
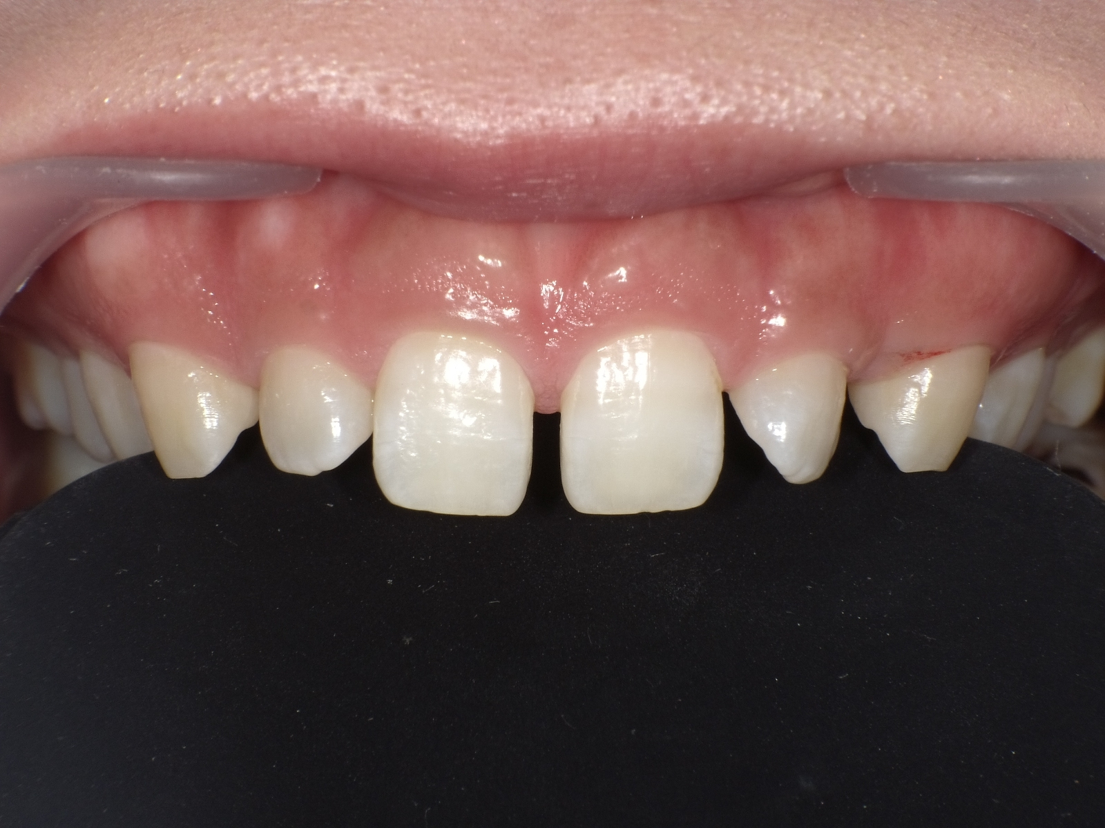
30代女性
- 治療前

- 治療後

| 年齢 |
30代 |
| 性別 |
女性 |
| 主訴 |
左上の2・3番のすきっ歯が一番気になる |
| 治療回数 |
2回 |
| 治療内容 |
ダイレクトボンディング |
| 費用 |
88,000円(税込) |
| 院長コメント |
左上の2・3番のすきっ歯が一番気になるため来院されました。
カウンセリングさせていただいたところ、1・1間のすきっ歯も綺麗にすることで、全体が綺麗に見えるとご相談させていただいたところ、合計4ヶ所をダイレクトボンディングさせて頂くこととなりました。 |
カテゴリーCATEGORIES
月別アーカイブARCHIVES