「前歯に白い斑点がある」「歯の表面が白く濁って見える」という悩みを抱えながら、「これは虫歯なの?それとも生まれつきのもの?」という疑問を持ったまま過ごしている方は少なくありません。この2つは見た目がとても似ているにもかかわらず、原因も対処法もまったく異なります。
この記事では、エナメル質形成不全と初期むし歯(脱灰)の見分け方を複数の視点からまとめ、「判断に迷ったらどうするか」という実践的な行動指針まで解説します。ご自身の歯の白い斑点が気になっている方も、お子さんの歯を心配している親御さんも、ぜひ最後までご覧ください。
そもそもエナメル質形成不全とは何か

「エナメル質形成不全」という言葉を耳にしたことはあっても、どんな状態なのかをイメージしにくい方は多いはずです。まずは「なぜ起こるのか」「どんな歯に現れるのか」という基本を知っておくと、後の見分け方がずっと理解しやすくなります。エナメル質形成不全の成り立ちを次で確認していきましょう。
歯が作られる時期の異変がエナメル質の仕上がりに影響する
エナメル質は、歯が形成される時期(胎児期〜乳幼児期)に一度だけ作られます。その時期に高熱・栄養障害・外傷・感染症などの影響を受けると、エナメル質の密度や厚みにムラが生じます。これがエナメル質形成不全の正体です。
「歯が生えてきた時点からすでに白い」「欠けているように見える」という場合は、この形成段階での問題が背景にあります。生えた後から後天的に起こる病変ではないため、「磨き方が悪かった」ということとは無関係です。むし歯菌による脱灰とは、しくみが根本的に異なります。
「ずっとあったから気にしていなかった」という方の歯の白い部分が、実はエナメル質形成不全であることも少なくありません。
乳歯にも永久歯にも起こる|どの歯に出やすいか
エナメル質形成不全は乳歯・永久歯を問わず起こります。永久歯では、形成時期に全身的な影響を受けやすい前歯と第一大臼歯(6歳臼歯)に現れやすい傾向があります。
特に第一大臼歯と前歯の両方に左右対称に白濁や茶褐色の変色が現れる状態は、MIH(臼歯切歯石灰化不全)と呼ばれ近年注目されています。乳歯の場合は、先行乳歯への外傷や感染が原因で局所的(一本だけ)に生じることもあります。
「上の前歯と奥歯、両方に変色がある」という場合、MIHの可能性が念頭に置かれます。お子さんの歯の変色に気づいたときは、どの歯に・どのように現れているかを確認してみてください。
エナメル質形成不全の見た目の種類は幅広い
エナメル質形成不全の見た目は一様ではありません。白い斑点・白濁にとどまらず、黄色・茶褐色の変色、表面のザラつき、部分的な欠け(実質欠損)などが単独または複合して現れます。
「白い斑点があるだけ」という軽度のものから、「表面が一部欠けている」という重度のものまで幅があるため、見た目だけで判断しようとすると混乱しやすいのです。「自分のはどのパターンだろう」と感じた方は、後にご紹介するチェックポイントで確認してみてください。
ホワイトスポット全般の見え方については、こちらのページでもまとめています。
エナメル質形成不全と虫歯(初期むし歯)はなぜ見た目が似ているのか

エナメル質形成不全も初期むし歯も、どちらも「白い斑点・白い濁り」として見えることから混同されやすいのですが、原因はまったく異なります。「なぜ似て見えるのか」というしくみを先に理解しておくことで、見分け方の説明が腑に落ちやすくなります。共通点と相違点を次で確認していきましょう。
共通点|エナメル質の内部で光が乱反射して白く見える
健全なエナメル質は均質な構造で光を透過し、歯に自然な透明感を与えています。しかし内部にミネラルの抜けた空洞が生じると、そこで光が乱反射して白く見えます。エナメル質形成不全も初期むし歯も、「空洞があるために白く見える」という点は共通しています。
「乾燥したほうが白く目立つ」という現象もどちらにも共通します。乾燥時に空洞内の水分が蒸発して空気に置き換わると、空気とエナメル質の屈折率の差がさらに大きくなり、白濁がより強く強調されます。
「鏡を見たときより、口の中が乾いているときのほうが気になる」という経験がある方は、この現象と重なっているかもしれません。
相違点|「いつ空洞ができたか」と「なぜ空洞ができたか」が違う
両者の違いは、空洞が「生まれつきのものか」「後天的に作られたものか」という点にあります。
エナメル質形成不全では、歯の形成段階で密度の低いエナメル質が作られ、生えた時点から空洞が存在しています。一方の初期むし歯(脱灰)は、生えた後にむし歯菌が産生する酸によってリンやカルシウムが溶け出し、後から空洞が形成されます。
起点がまったく異なるため、対処法も自ずと変わります。「同じ白い変色でも、生まれつきなのか後から起きたのかで、すべきことが変わる」この認識が見分けの第一歩です。
ホワイトスポット全般の見え方のしくみについてはこちらでも詳しく解説しています。
エナメル質形成不全と初期むし歯の見分け方|4つのチェックポイント

「見た目が似ている」とはいえ、注目する視点を変えると判断の手がかりが見えてきます。「気づいたのはいつか」「どの歯のどこにあるか」「左右対称かどうか」「色・表面の状態はどうか」という4つの観点から確認することで、どちらに近いかをある程度絞ることができます。各ポイントを次で詳しく確認していきましょう。
チェックポイント① 「いつ気づいたか」
エナメル質形成不全は、歯が生えてきた直後から白い斑点や変色が確認できます。「ずっとあった」「生え始めから気になっていた」という場合は、形成不全由来の可能性が高まります。
一方、初期むし歯は生えてから一定の期間が経過した後、プラークが停滞しやすい部位に形成されます。「最近気づいた」「矯正中・矯正後から目立つようになった」という場合は、脱灰性の白濁を疑う手がかりになります。
「子どものころからずっとある」のか「気づいたら最近できていた」のかを思い返してみることが、最初の手がかりになります。
チェックポイント② 「どの歯のどこに出ているか」
初期むし歯(脱灰)は、磨き残しが生じやすい「歯と歯ぐきの境目(歯頸部)」や「矯正ブラケット周囲」に好発します。
一方、エナメル質形成不全は歯の形成時期の影響が現れやすい「前歯の中央〜先端付近」や「第一大臼歯(6歳臼歯)」に多く見られます。
「歯の付け根付近に白い線がある」場合は脱灰の可能性が高く、「前歯の真ん中あたりに白い斑点がある」場合は形成不全を疑う一つの目安になります。「どの歯のどの部分にあるか」を鏡で確認してみることが、次のステップになります。
チェックポイント③ 「左右対称かどうか・複数の歯にあるかどうか」
全身的な要因(発熱・栄養障害など)によるエナメル質形成不全は、左右対称に複数の歯に現れる傾向があります。「上の前歯が左右とも白い」「左右の第一大臼歯が両方変色している」という場合、全身的な要因による形成不全の可能性を考える手がかりになります。
初期むし歯は磨き残しが生じやすい特定の部位に発生するため、複数歯に左右対称に出ることは比較的少ない傾向があります。ただし例外もあるため、「左右対称=必ず形成不全」とは断定できません。
「右だけ」「一本だけ」なのか、「左右どちらにもある」なのかを確認してみてください。
チェックポイント④ 「色・形・表面の状態」
見た目の性状にも違いが出ることがあります。エナメル質形成不全では、白・黄色・茶褐色が混在したり、表面がザラついていたり、一部が欠けているように見えることがあります。
初期むし歯(脱灰)は白く濁った変化が中心で、表面に穴はまだありません。乾燥させると白さがさらに強調されます。ただしエナメル質形成不全の歯に脱灰が重なっているケースも実際にあり、見た目だけで完全に区別することは難しいのが実情です。
「ザラついている」「欠けている部分がある」「白だけでなく黄色や茶色も混じっている」と感じる場合は、形成不全の要素が含まれているかもしれません。
「茶色い斑点」はどちらの可能性がある?
茶褐色の変色はエナメル質形成不全(MIHなど)でも見られますが、ホワイトスポットの空洞内にタンパク質が入り込んで着色した「ブラウンスポット」として現れることもあります。どちらも見た目が似ていますが、治療の方向性が異なります。
茶色っぽい変色が気になる場合は、自己判断せずに歯科で確認することをおすすめします。
「白い帯状のシミ」はホワイトバンドかもしれない
歯を横断するように帯状に広がる白いシミは「ホワイトバンド」と呼ばれ、エナメル質形成不全のひとつのパターンです。局所的な斑点状のホワイトスポットとは異なり、ICON治療では対応が難しく、長期的なホワイトニングが必要になるケースもあります。
「点ではなく帯のように白い」と感じる場合は、この可能性も含めて歯科で診てもらうことが大切です。
自宅での確認だけでは「どちらか」を判断しきれない理由

ここまで4つのチェックポイントを解説しましたが、「自分の症状がどちらか断定できない」と感じる方は多いはずです。それは自然なことで、いくつかの理由があります。どうしても自宅での確認だけでは限界がある点を、次で正直にお伝えします。
形成不全の歯に脱灰が重なるケースがある
エナメル質形成不全の歯は、密度が低くプラークが停滞しやすいため、形成不全の部分に初期むし歯が重なって発生するケースがあります。
「形成不全だから虫歯ではない」とは言い切れず、「形成不全+初期むし歯」という状態が同時に存在することも珍しくありません。見た目からどちらかひとつに絞ることが難しい根本的な理由がここにあります。
「生まれつきあった白い部分が、最近さらに気になるようになった」という感覚がある場合は、形成不全の上に脱灰が重なり始めている可能性も考えられます。
白濁の「深さ」は見た目では判断できない
白濁が表面に限られているのか、深部にまで及んでいるのかは、外見だけでは判断できません。当院では透照診(光を歯に当てて内部を観察する検査)を行い、白濁の深さを確認してから治療方針を決定しています。
「比較的浅い」のか「深部に及んでいる」のかによって、標準的なICON治療で対応できるか、より慎重なアプローチが必要かが変わります。「診てみないとわからない部分がある」ことを正直にお伝えしながら、現状を丁寧にご説明しています。
「気になったとき」が受診のタイミング
「まだ痛みがないから様子を見よう」という気持ちから、受診を後回しにしてしまうことがあります。しかし白濁の段階で確認できれば、歯を削らないICON治療が適応できる可能性が高まります。
穴が開いてから診てもらうのと、白濁の段階で診てもらうのとでは、治療の選択肢の幅がまったく異なります。「どちらかわからない」という段階こそ、受診の良いタイミングです。
エナメル質形成不全の歯はなぜ虫歯になりやすいのか

「エナメル質形成不全は虫歯ではない」とわかっても、「虫歯になりやすい」という特性は見落とせません。形成不全の歯には、通常の歯にはない3つの弱点があります。「なぜなりやすいのか」を知ることが、日々のケアへの意識につながります。それぞれを次で詳しく確認していきましょう。
弱点① エナメル質の密度が低く酸に溶けやすい
健全なエナメル質はミネラルが密に詰まった硬い層です。しかし形成不全の部分はミネラル密度が低く、むし歯菌が作り出す酸による脱灰が起きやすくなっています。「虫歯ではないのに、虫歯のように進行することがある」のはこのためです。
フッ素塗布による歯質強化が予防として推奨されるのも、この弱点を補うためです。定期的なフッ素塗布と歯磨きにフッ素入り歯磨き粉を取り入れることが、形成不全歯の脱灰リスクを下げる基本的な対策になります。
弱点② 表面がザラついているため汚れが停滞しやすい
形成不全の歯はエナメル質の表面が粗く、プラーク(歯垢)が付着・停滞しやすい構造をしています。汚れが残りやすい→酸が産生されやすい→脱灰が起きる、という流れで虫歯リスクが上がります。
「丁寧に磨いているつもりでも白い部分に汚れが残る」という状況が起きやすいのは、この表面性状が影響しています。定期的なプロフェッショナルクリーニングが特に重要になる理由のひとつです。
弱点③ 知覚過敏が出やすく磨き方が不十分になりやすい
エナメル質が薄い・粗い部分は知覚過敏(冷たいものがしみるなどの症状)が起きやすくなっています。「しみるから磨くのが痛い」という状態が続くと、その部位を避けるように磨くようになり、汚れが蓄積します。
「知覚過敏がある→その部位を避けて磨く→汚れが停滞する→虫歯リスクが上がる」というサイクルに陥りやすい点が、形成不全特有の課題です。知覚過敏がある場合は、歯科で対応方法を相談することをおすすめします。
エナメル質形成不全と診断されたら|治療・管理の選択肢

エナメル質形成不全と確認されたあと、どう対応するかは症状の程度と目的(虫歯予防なのか・見た目の改善なのか)によって変わります。大きく「予防・経過管理」「見た目の改善」「虫歯が進行した場合の対処」という方向があります。自分の状態にどれが当てはまるかを次で確認していきましょう。
軽度の場合|フッ素塗布と定期管理で虫歯を予防する
見た目の変化が軽微で虫歯も起きていない段階では、フッ素塗布による歯質強化と定期的な検診・クリーニングを継続することが基本的な方針になります。フッ素はエナメル質の表面を補強し、酸による脱灰を抑える働きがあります。
形成不全の歯は脱灰しやすい特性があるため、「フッ素を一度塗れば終わり」ではなく、継続して塗布することと頻度を意識することが重要です。3か月ごとの定期メンテナンスを継続することで、良好な状態を長く保つことにつながります。
見た目が気になる場合|削らないICON治療という選択肢
「白い斑点が目立って笑顔に自信が持てない」という場合、歯をできる限り削らずに改善をめざすICON(アイコン)治療という選択肢があります。ICONは液状の樹脂をホワイトスポットの内部に浸透・硬化させることで、光の屈折率を健全なエナメル質に近づける治療法です。
麻酔は基本的に不要で、痛みもほとんどありません。エナメル質形成不全への適用は保険外治療であり、効果に個人差があることをご理解いただいたうえで、透照診で深さを確認してから治療方針を決定しています。
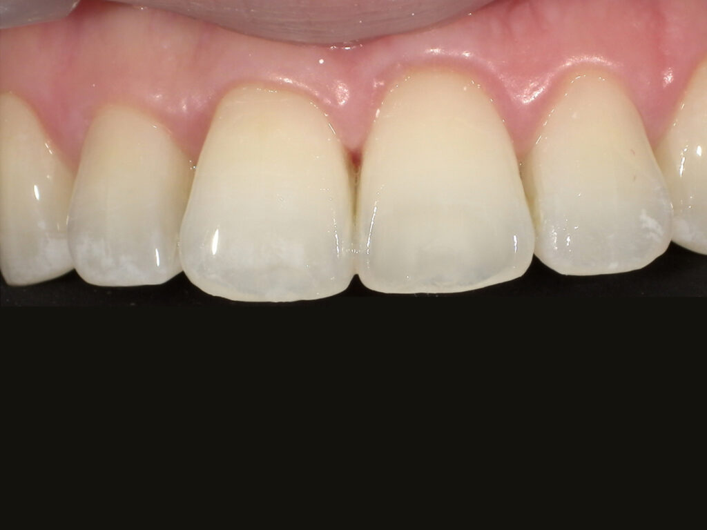
実際にICON治療を受けた方の症例をご覧ください。白い斑点が目立っていた前歯が、歯を削ることなく自然なトーンに近づいています。
当院で実際にICON治療を受けられた患者様の変化


| 年齢 | 30代 |
| 性別 | 女性 |
| 主訴 | ホワイトスポット気になる |
| 治療回数 | 3回 |
| 治療内容 | ICON2本(ホームホワイトニング) |
| 費用 | ICON:1歯/55,000円(税込) ホームホワイトニング:33,000円(税込) |
| 院長コメント | |
| 当院にて矯正治療をしていただいた患者様です。 ブラケットを外したところ前から気になっていたホワイトスポットがより気になるようになった為、ICON治療を希望されました。 ホワイトスポットが深く、施術後少し窪んだように見えてしまったためダイレクトボンディングをご提案しましたが、本人様は現状で十分満足されたため経過観察としております。 | |
個人差はありますが、「笑うときに気になっていた白い部分が馴染んだ」というご感想をいただくことが多い治療です。
その他の症例は、下記の一覧からご覧いただけます。
ICON治療の前にホワイトニングが必要なケース
黄色や茶色がかったホワイトスポットの場合、ICON治療の前にホワイトニングを先行させることがあります。着色がある状態のままICONを施術すると、見た目がかえって不自然になることがあるためです。
またホワイトニングを行うことで、気づいていなかったホワイトスポットが浮き上がり、見落としなく対応できるというメリットもあります。「茶色や黄色がかっている」と感じる場合は、治療の流れとして最初にホワイトニングが必要になる可能性をご理解いただいたうえでご相談ください。
虫歯が進行している場合|削る治療・詰め物・被せ物
形成不全の歯に実際に虫歯が進んで穴が開いている場合は、削って詰める治療(コンポジットレジン充填)や、広範囲に及ぶ場合は被せ物(クラウン)が必要になります。
「形成不全だから虫歯ではない」という思い込みで放置していると、気づかないうちに虫歯が進行しているケースもあります。「白い部分が気になる」「最近しみるようになった」と感じたら、早めに診てもらうことが将来の治療の複雑さを減らすことにつながります。
エナメル質形成不全の歯を長く守るための日常ケアのポイント

エナメル質形成不全の歯は「虫歯になりやすい弱点がある」という特性を踏まえたうえで、日常ケアに少し意識を加えることが重要です。「特別なことをしなければいけない」というよりも、基本的なケアを丁寧に続けることと歯科と継続的に関わることが軸になります。具体的なポイントを次で確認していきましょう。
フッ素入り歯磨き粉を使い丁寧にブラッシングする
形成不全の部分は表面がザラついているため、毛先の当て方と動かし方を意識して磨くことが助けになります。フッ素入り歯磨き粉を使うことでエナメル質表面の補強につながり、脱灰のリスクを下げる効果が期待できます。
磨き方の癖は自分では気づきにくいため、歯科での歯磨き指導を受けることで磨き方を見直すきっかけになります。「白い部分の周りが特に磨けているか」を意識するだけで、日々のブラッシングの質が変わります。
知覚過敏がある場合は「しみるから磨けない」状態を放置しない
しみる症状があるために、その部位を避けて磨くようになると、汚れが蓄積して虫歯リスクが上がります。知覚過敏への対応(専用の薬剤塗布・知覚過敏対応の歯磨き粉の使用など)を歯科で相談することで、しみる症状を和らげながら磨き方を改善することができます。
「しみるから仕方ない」とそのままにせず、症状の解決策を歯科に相談することが大切です。
3か月ごとの定期メンテナンスを継続する
形成不全の歯は自宅ケアだけでは汚れが取りきれない部分が残りやすいため、定期的なプロフェッショナルクリーニングが特に重要です。また定期検診では、白濁部分の変化や新たな脱灰が起きていないかを確認することができます。
「良い状態を保てているか」を定期的に確認し続けることが、将来の歯の健康につながります。当院では担当歯科衛生士が継続的に口内状態をお伝えしながら、一人ひとりの生活習慣に合ったアドバイスを行っています。
まとめ:エナメル質形成不全と虫歯の見分け方|まずは歯科での確認を
エナメル質形成不全と初期むし歯は、どちらも白い斑点・白濁として現れますが、発生のしくみ・好発部位・進行のリスクがまったく異なります。「気づいた時期」「分布のパターン」「左右対称かどうか」「色・表面の状態」という4つの観点から手がかりを探すことができますが、自宅での確認だけで断定するには限界があります。
また形成不全の歯には、脱灰しやすい・汚れが停滞しやすい・知覚過敏が出やすいという3つの弱点があり、「虫歯ではないから大丈夫」という安心は禁物です。治療の選択肢は「予防・管理」から「削らないICON治療」まで幅広くあり、状態と目的によって最適な方法が異なります。
まずは歯科での診断が出発点になります。当院では歯科衛生士がじっくりとお話をうかがうカウンセリングを設けており、現在の状態と選択肢をわかりやすくご説明します。「自分の症状がどちらなのか確かめたい」という段階でも、まずはお気軽にご相談ください。
ホワイトスポット治療の詳細についてはこちらのページもあわせてご覧ください。
監修者情報

院長 杉本 紳也
大阪歯科大学卒業後、京都第一赤十字病院 歯科口腔外科にて研修。 大阪府内の開業医での勤務を経て、大阪市北区西天満に みなみもりまち歯科クリニックを開院。 ダイレクトボンディングや部分矯正をはじめとする審美歯科治療を多く手がけ、 「できる限り削らない・痛くない治療」を大切にしている。 セラミック・ホワイトスポット治療など歯の見た目に関するご相談を無料で受け付けており、 歯科衛生士によるカウンセリングと合わせて、患者様が安心して選択できる体制を整えている。


















