【ダイレクトボンディング】すきっ歯を治療した症例【21】
- ホーム >
- ブログ >
- 【ダイレクトボンディング】すきっ歯を治療した症例【21】
![]()
2025年12月23日
【ダイレクトボンディング】すきっ歯を治療した症例
リスク・副作用
- 強い衝撃などにより欠けたりすることがあります。
- 経年的に劣化(変色)してくる可能性があります。
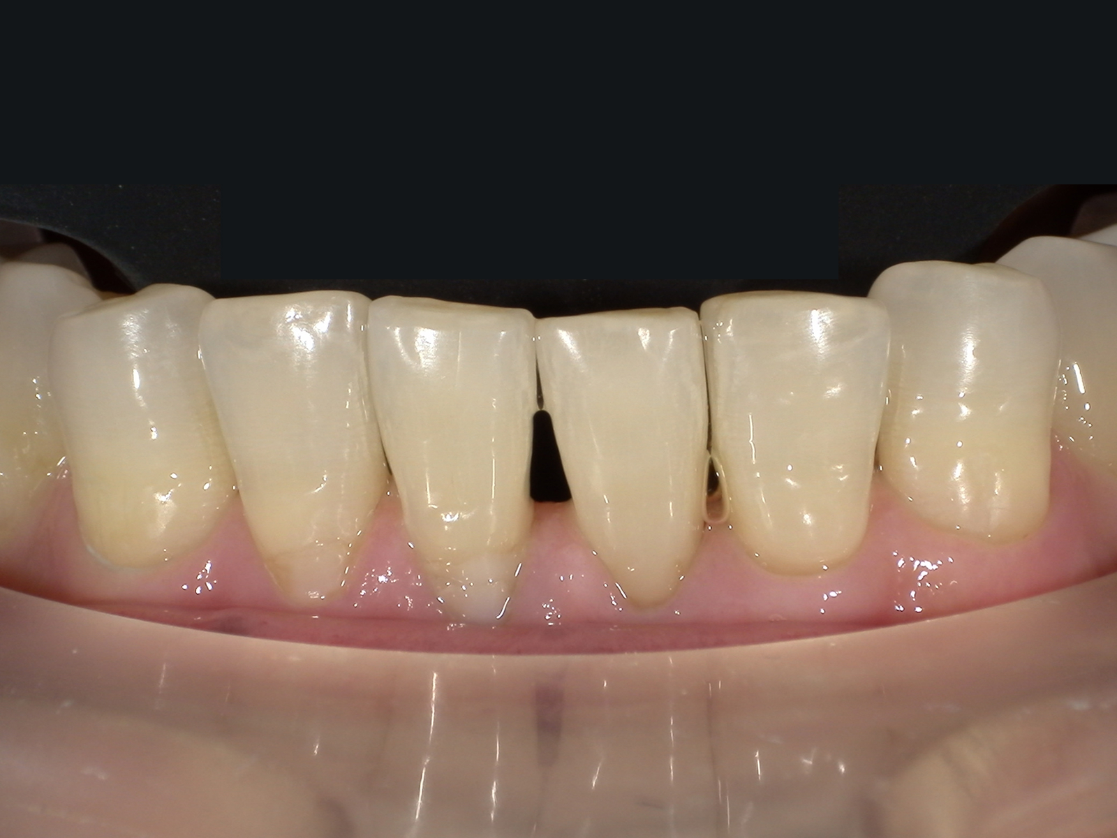
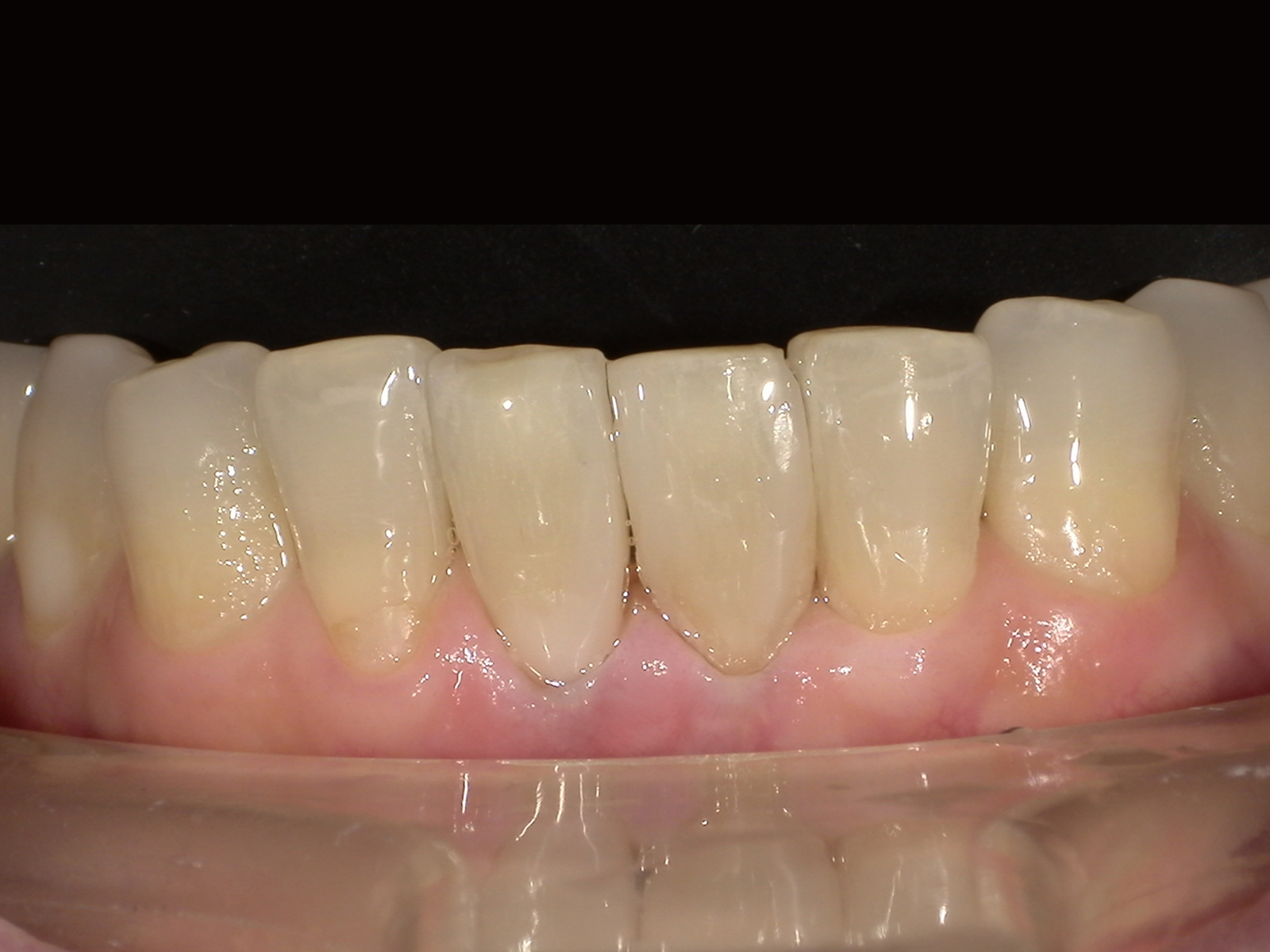
60代女性
- 治療前

- 治療後

| 年齢 |
60代 |
| 性別 |
女性 |
| 主訴 |
下の前歯の隙間をどうにかしたい |
| 治療回数 |
2回 |
| 治療内容 |
ダイレクトボンディング |
| 費用 |
88,000円(税込) |
| 院長コメント |
| 他医院にて矯正後、下の前歯隙間が空いてきたと仰っておられました。おそらく早期接触にて歯の移動がおき隙間が空いてきたのではないかとご説明させて頂きました。再度矯正治療するかダイレクトボンディングでするかご提案し、最終的にダイレクトボンディングで施術させて頂くことになりました。仕上がりにはとても満足して頂き、今後他の部位の治療も進めていくことになりました。 |
カテゴリーCATEGORIES
月別アーカイブARCHIVES